-
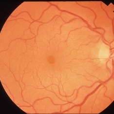
Macular Pucker After Retinal Detachment
Apr 2 2019 by Gary R. Cook, MD, FACS
Macular pucker following retinal detachment repair OS.
Condition/keywords: epiretinal membrane (ERM), macular pucker, retina surgery complications
-
Macular Pucker
Apr 8 2019 by Gary R. Cook, MD, FACS
64-year-old white female with an idiopathic macular pucker OS following a PVD; V.A. = 20/60
Imaging device: Topcon VT-50
Condition/keywords: epiretinal membrane (ERM), idiopathic epiretinal membrane, macular pucker
-
Macular Pucker with Pseudohole
Apr 8 2019 by Gary R. Cook, MD, FACS
52-year-old white male with a diffuse ERM and pseudohole OD; V.A. = 20/20-1
Imaging device: Topcon VT-50
Condition/keywords: epiretinal membrane (ERM), idiopathic epiretinal membrane, macular pseudohole, macular pucker
-
Macular Pucker with Pseudohole
Apr 8 2019 by Gary R. Cook, MD, FACS
Red-free photograph of a 52-year-old white male with a diffuse ERM and pseudohole OD; V.A. = 20/20-1
Imaging device: Topcon VT-50
Condition/keywords: epiretinal membrane (ERM), idiopathic epiretinal membrane, macular pseudohole, macular pucker
