-
Mellaril Toxicity
Apr 2 2019 by Gary R. Cook, MD, FACS
White male with a pigmentary retinopathy OD secondary to long-term treatment with Mellaril for psychosis.
Imaging device: Topcon VT-50
Condition/keywords: bilateral pigmentary retinopathy, mellaril toxicity, secondary pigmentary degeneration
-
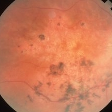
Mellaril Toxicity
Apr 2 2019 by Gary R. Cook, MD, FACS
White male with a pigmentary retinopathy OS secondary to long-term treatment with Mellaril for psychosis.
Imaging device: Topcon VT-50
Condition/keywords: bilateral pigmentary retinopathy, mellaril toxicity, secondary pigmentary degeneration
