-
Eales Disease
Apr 1 2019 by Gary R. Cook, MD, FACS
Posterior pole of the right eye of a 23-year-old Vietnamese female with Eales disease; V.A.= 20/40.
Imaging device: Topcon VT-50
Condition/keywords: Eales disease
-
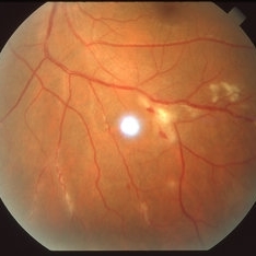
Eales Disease
Apr 1 2019 by Gary R. Cook, MD, FACS
Posterior pole of the left eye of a 23-year-old Vietnamese female with Eales Disease; V.A.= 20/25-2.
Imaging device: Topcon VT-50
Condition/keywords: Eales disease
-
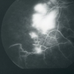
Eales Disease
Apr 1 2019 by Gary R. Cook, MD, FACS
Mid-phase fluorescein angiogram frame of the left eye of a 23-year-old Vietnamese female with Eales Disease showing multiple areas of NVE and areas of capillary loss and nonperfusion OS.
Imaging device: Topcon VT-50
Condition/keywords: Eales disease, FA mid phase, fluorescein angiogram (FA), neovascularization elsewhere (NVE)
-
Eales Disease
Apr 1 2019 by Gary R. Cook, MD, FACS
Late-phase fluorescein angiogram image of the left eye of a 23-year-old Vietnamese female with Eales Disease showing extensive dye leakage from multiple areas of NVE and from some NVD.
Imaging device: Topcon VT-50
Condition/keywords: Eales disease, FA late phase, fluorescein angiogram (FA), neovascularization elsewhere (NVE)
-
Eales Disease
Apr 1 2019 by Gary R. Cook, MD, FACS
Mid-peripheral retinal vascular changes on late-phase fluorescein angiography of a 23-year-old Vietnamese female with Eales disease.
Imaging device: Topcon VT-50
Condition/keywords: Eales disease, FA late phase, FA late phase leakage, fluorescein angiogram (FA), retinal vasculitis
-
Eales Disease
Apr 1 2019 by Gary R. Cook, MD, FACS
Late-phase fluorescein angiogram image of the right eye of a 23-year-old Vietnamese female with Eales disease showing vascular leakage and staining in the posterior pole OD.
Imaging device: Topcon VT-50
Condition/keywords: Eales disease, FA late phase, FA late phase leakage, fluorescein angiogram (FA), retinal vasculitis
-
Eales Disease
Apr 1 2019 by Gary R. Cook, MD, FACS
Late-phase fluorescein angiogram image of the retinal periphery of a 23-year-old Vietnamese female with Eales disease showing peripheral capillary nonperfusion, vaso-occlusion and peripheral retinal neovascularization; V.A.= 20/80.
Imaging device: Topcon VT-50
Condition/keywords: Eales disease, FA late phase, fluorescein angiogram (FA), peripheral retinal neovascularization, vaso-occlusive disease
-
Eales Disease
Apr 1 2019 by Gary R. Cook, MD, FACS
23-year-old Vietnamese female status post peripheral laser panretinal photocoagulation (PRP) treatment showing regression of peripheral neovascularization with gliosis for Eales disease.
Imaging device: Topcon VT-50
Condition/keywords: Eales disease, gliosis, laser photocoagulation, pan-retinal photocoagulation (PRP)
-
Eales Disease
Apr 1 2019 by Gary R. Cook, MD, FACS
20-year-old Vietnamese male with NVD and retinal vascular abnormalities in the posterior pole OS secondary to Eales disease; V.A.= 20/40-1.
Imaging device: Topcon VT-50
Condition/keywords: Eales disease, neovascularization of the disc (NVD)
-
Eales Disease
Apr 1 2019 by Gary R. Cook, MD, FACS
Superonasal periphery of the right eye of a 23-year-old Vietnamese female with Eales disease; V.A.= 20/40.
Imaging device: Topcon VT-50
Condition/keywords: Eales disease
-
Eales Disease
Apr 1 2019 by Gary R. Cook, MD, FACS
Fundus photograph of the superonasal mid-periphery of a 20-year-old Vietnamese male with Eales Disease; V.A.= 20/40-1.
Imaging device: Topcon VT-50
Condition/keywords: Eales disease
-
Eales Disease
Apr 1 2019 by Gary R. Cook, MD, FACS
Fundus photograph showing the retinal vascular abnormalities in the superior mid-periphery of a 20-year-old Vietnamese male with Eales Disease; V.A. = 20/40-1.
Imaging device: Topcon VT-50
Condition/keywords: Eales disease
-
Eales Disease
Apr 1 2019 by Gary R. Cook, MD, FACS
Mid-phase (70 seconds) fluorescein angiogram image of the inferior periphery OS of a 20-year-old Vietnamese male with Eales Disease; there is bright hyperfluorescence from a focus of NVE below the optic disc and blocked fluorescence from vitreous hemorrhage in the eye.
Imaging device: Topcon VT-50
Condition/keywords: Eales disease, FA late phase, FA late phase leakage, fluorescein angiogram (FA), neovascularization elsewhere (NVE), vitreous hemorrhage
-
Eales Disease
Apr 1 2019 by Gary R. Cook, MD, FACS
Late-phase (5 minutes) fluorescein angiogram image of a 20-year-old Vietnamese male with Eales Disease showing retinal vascular changes and intense leakage from peripheral NVE.
Imaging device: Topcon VT-50
Condition/keywords: Eales disease, FA late phase leakage, fluorescein angiogram (FA), neovascularization elsewhere (NVE)
-
Eales Disease
Apr 1 2019 by Gary R. Cook, MD, FACS
Late-phase (5 minutes) fluorescein angiogram image of the nasal mid-periphery of the left eye of a 23-year-old Vietnamese female with Eales Disease showing multiple areas of NVE and some disc leakage.
Imaging device: Topcon VT-50
Condition/keywords: Eales disease, FA late phase, FA late phase leakage, fluorescein angiogram (FA), neovascularization elsewhere (NVE)
-
Eales Disease
Apr 1 2019 by Gary R. Cook, MD, FACS
Mid-phase fluorescein angiogram image of the left eye of a 23-year-old Vietnamese female with Eales Disease showing the retinal vascular abnormalities, capillary loss, and a focus of NVE; V.A.= 20/25-2.
Imaging device: Topcon VT-50
Condition/keywords: Eales disease, FA mid phase, fluorescein angiogram (FA), neovascularization elsewhere (NVE)
-
Eales Disease
Apr 1 2019 by Gary R. Cook, MD, FACS
Fundus photograph of retinal vascular changes in inferotemporal mid-periphery of left eye of a 23-year-old Vietnamese female with Eales disease; V.A. = 20/25-2.
Imaging device: Topcon VT-50
Condition/keywords: Eales disease
-
Eales Disease
Apr 1 2019 by Gary R. Cook, MD, FACS
Fundus photograph of retinal vascular changes and retinal hemorrhages in the superotemporal periphery OS of a 23-year-old Vietnamese female with Eales disease; V.A. = 20/25-2.
Imaging device: Topcon VT-50
Condition/keywords: Eales disease, vaso-occlusive disease
-
Eales Disease
Apr 1 2019 by Gary R. Cook, MD, FACS
25-year-old Vietnamese male with peripheral retinal vasculitis, vaso-occlusion, and retinal hemorrhages secondary to Eales Disease; V.A.= 20/20.
Imaging device: Topcon VT-50
Condition/keywords: Eales disease, retinal hemorrhage, vaso-occlusive disease, vasoocclusive retinopathy
