-
Diffuse Choroidal Hemangioma
Nov 7 2012 by Rajiv Anand, MD, FRCS, FASRS
Fundus photo shows classic 'tomato-ketchup' red appearance of diffuse hemangioma. Due to chronic SRF , there is subretinal fibrosis.
Condition/keywords: subretinal fibrosis
-
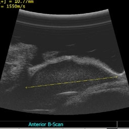
Diffuse Choroid hemangioma
Nov 7 2012 by Rajiv Anand, MD, FRCS, FASRS
B scan ultrasound shows the thickened choroid
Condition/keywords: choroidal thickening, Sturge-Weber syndrome
-
Ciliary mass
Nov 7 2012 by Rajiv Anand, MD, FRCS, FASRS
Patient presented with mass hidden by upper lid, 20/30 vision
Photographer: Mike Mackens
Condition/keywords: ciliary body mass
-
Ciliary mass ultrasound
Nov 7 2012 by Rajiv Anand, MD, FRCS, FASRS
Immersion ultrasound of mass shows cystic lesion 11mm in diameter
Photographer: Janae Sierocki
Condition/keywords: ciliary body mass, cystic lesion, immersion ultrasound
-
TRD+PDR
Nov 7 2012 by Rajiv Anand, MD, FRCS, FASRS
Severe traction retinal detachment with diabetic retinopathy
Photographer: Mike Mackens
Condition/keywords: diabetic blindness
