3 year-old-boy with unilateral sporadic Group E retinoblastoma
-
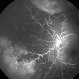
Retinoblastoma Fluorescein Angiography
Jan 10 2019 by Rahul Komati, MD
Fluorescein angiography showing dilated feeder vessels to superior tumor and punctate hyperfluorescence in area of diffuse retinal seeding.
Photographer: Michael Blair, MD
Imaging device: Retcam
Condition/keywords: retinoblastoma
-
Retinoblastoma
Jan 10 2019 by Rahul Komati, MD
Fundus photograph of retinoblastoma tumor and vitreous seeding in a 3-year-old boy.
Photographer: Michael Blair, MD
Imaging device: Retcam
Condition/keywords: retinoblastoma
-
Retinoblastoma Involving Iris
Jan 10 2019 by Rahul Komati, MD
Tumor infiltration of iris resulting in fluorescein leakage from vascularization.
Photographer: Michael Blair, MD
Imaging device: Retcam
Condition/keywords: retinoblastoma
-
Group E Retinoblastoma Specimen
Jan 10 2019 by Rahul Komati, MD
Enucleation specimen of a 3-year-old boy with Group E unilateral sporadic retinoblastoma.
Condition/keywords: retinoblastoma
-
Retinoblastoma Pathology
Jan 10 2019 by Rahul Komati, MD
Enucleation specimen histopathology showing tumor involvement of retina, iris, ciliary body.
Condition/keywords: retinoblastoma
-
Retinoblastoma Pathology
Jan 10 2019 by Rahul Komati, MD
Pathology showing poorly differentiated tumor without classic rosettes; many apoptoses, cystic spaces, calcifications.
Condition/keywords: retinoblastoma
-
Retinoblastoma pathology
Jan 10 2019 by Rahul Komati, MD
Group E retinoblastoma with invasion of anterior segment structures (iris stroma, ciliary body stroma) and angle.
Condition/keywords: retinoblastoma
-
Retinoblastoma Pathology
Jan 10 2019 by Rahul Komati, MD
Histopathology showing tumor cell invasion of trabecular meshwork, Schlemm's canal, episcleral collector channels. Patient was treated with enucleation & adjuvant chemotherapy.
Condition/keywords: retinoblastoma
-
Retinoblastoma Pathology
Jan 10 2019 by Rahul Komati, MD
Histopathology showing tumor cell invasion of trabecular meshwork, Schlemm's canal, episcleral collector channels. Patient was treated with enucleation & adjuvant chemotherapy.
Condition/keywords: retinoblastoma
