-
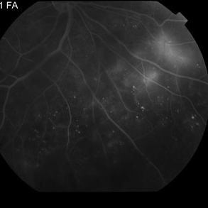
Proliferative Diabetic Retinopathy with Vitreous Hemorrhage - FA late
Oct 18 2012 by Suber S. Huang, MD, MBA, FASRS
30 year old diabetic man with proliferative diabetic retinopathy and vitreous hemorrhage
Photographer: Stacie Hrvatin
Condition/keywords: cotton wool spots, neovascularization (NV), subhyaloid hemorrhage, vitreous hemorrhage
-
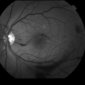
Proliferative Diabetic Retinopathy with Vitreous Hemorrhage - color fundus photo
Oct 18 2012 by Suber S. Huang, MD, MBA, FASRS
30 year old diabetic man with proliferative diabetic retinopathy and vitreous hemorrhage
Photographer: Stacie Hrvatin
Condition/keywords: cotton wool spots, neovascularization (NV), subhyaloid hemorrhage, vitreous hemorrhage
-
Proliferative Diabetic Retinopathy with Vitreous Hemorrhage - color fundus photo
Oct 18 2012 by Suber S. Huang, MD, MBA, FASRS
30 year old diabetic man with proliferative diabetic retinopathy and vitreous hemorrhage
Photographer: Stacie Hrvatin
Condition/keywords: cotton wool spots, neovascularization (NV), subhyaloid hemorrhage, vitreous hemorrhage
-
Proliferative Diabetic Retinopathy with Vitreous Hemorrhage - Red Free
Oct 18 2012 by Suber S. Huang, MD, MBA, FASRS
30 year old diabetic man with proliferative diabetic retinopathy and vitreous hemorrhage
Photographer: Stacie Hrvatin
Condition/keywords: cotton wool spots, neovascularization (NV), subhyaloid hemorrhage, vitreous hemorrhage
-
Proliferative Diabetic Retinopathy with Vitreous Hemorrhage - FA early
Oct 18 2012 by Suber S. Huang, MD, MBA, FASRS
30 year old diabetic man with proliferative diabetic retinopathy and vitreous hemorrhage
Photographer: Stacie Hrvatin
Condition/keywords: cotton wool spots, neovascularization (NV), subhyaloid hemorrhage, vitreous hemorrhage
-
Proliferative Diabetic Retinopathy with Vitreous Hemorrhage - FA mid
Oct 18 2012 by Suber S. Huang, MD, MBA, FASRS
30 year old diabetic man with proliferative diabetic retinopathy and vitreous hemorrhage
Photographer: Stacie Hrvatin
Condition/keywords: cotton wool spots, neovascularization (NV), subhyaloid hemorrhage, vitreous hemorrhage
-
Proliferative Diabetic Retinopathy with Vitreous Hemorrhage - FA mid
Oct 18 2012 by Suber S. Huang, MD, MBA, FASRS
30 year old diabetic man with proliferative diabetic retinopathy and vitreous hemorrhage
Photographer: Stacie Hrvatin
Condition/keywords: cotton wool spots, neovascularization (NV), subhyaloid hemorrhage, vitreous hemorrhage
-
Proliferative Diabetic Retinopathy with Vitreous Hemorrhage - FA mid
Oct 18 2012 by Suber S. Huang, MD, MBA, FASRS
30 year old diabetic man with proliferative diabetic retinopathy and vitreous hemorrhage
Photographer: Stacie Hrvatin
Condition/keywords: cotton wool spots, neovascularization (NV), subhyaloid hemorrhage, vitreous hemorrhage
-
Proliferative Diabetic Retinopathy with Vitreous Hemorrhage - FA late
Oct 18 2012 by Suber S. Huang, MD, MBA, FASRS
30 year old diabetic man with proliferative diabetic retinopathy and vitreous hemorrhage
Photographer: Stacie Hrvatin
Condition/keywords: cotton wool spots, neovascularization (NV), subhyaloid hemorrhage, vitreous hemorrhage
-
Proliferative Diabetic Retinopathy with Vitreous Hemorrhage - FA
Oct 18 2012 by Suber S. Huang, MD, MBA, FASRS
30 year old diabetic man with proliferative diabetic retinopathy and vitreous hemorrhage
Photographer: Stacie Hrvatin
Condition/keywords: cotton wool spots, neovascularization (NV), subhyaloid hemorrhage, vitreous hemorrhage
-
Proliferative Diabetic Retinopathy with Vitreous Hemorrhage - FA
Oct 18 2012 by Suber S. Huang, MD, MBA, FASRS
30 year old diabetic man with proliferative diabetic retinopathy and vitreous hemorrhage
Photographer: Stacie Hrvatin
Condition/keywords: cotton wool spots, neovascularization (NV), subhyaloid hemorrhage, vitreous hemorrhage
