-
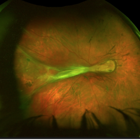
Stage 4a ROP
Apr 17 2017 by Alexandre Grandinetti, MD, PhD
Stage 4a retinopathy of prematurity in a 6-month-old baby previously treated with laser and intravitreal Avastin.
Photographer: Alexandre Grandinetti
Condition/keywords: retinopathy of prematurity (ROP), vitrectomy
-
Familial Exsudative Vitreoretinopathy (FEVR)
Aug 4 2017 by Alexandre Grandinetti, MD, PhD
Fundus photograph of a 16-year-old monocular girl with FEVR.
Photographer: Corina Shrzek
Imaging device: P200DTX California - Optos
Condition/keywords: familial exudative vitreoretinopathy (FEVR)
-
Familial Exudative Vitreoretinopathy with Cataract
Sep 26 2020 by Alexandre Grandinetti, MD, PhD
FEVR in a monocular patient with dense posterior subcapsular cataract.
Photographer: Corina Skrezk / Hospital de Olhos do Paraná
Condition/keywords: familial exudative vitreoretinopathy (FEVR), Optos
-
FEVR and Cataract
Sep 26 2020 by Alexandre Grandinetti, MD, PhD
Monocular patient with FEVR and dense posterior subcapsular cataract.
Photographer: Corina Skrzek / Hospital de Olhos do Paraná
Condition/keywords: familial exudative vitreoretinopathy (FEVR), Optos
-
Ocular Toxocariasis with Peripheral Granuloma
Apr 24 2021 by Alexandre Grandinetti, MD, PhD
8-year-old boy with a retinal fold secondary to peripheral toxocara canis granuloma localized on the superior retina.
Photographer: Corina Skrzek
Imaging device: Optos California
Condition/keywords: toxocariasis
-
FEVR
Apr 24 2021 by Alexandre Grandinetti, MD, PhD
6-year-old girl with retinal folds on both eyes secondary to FEVR.
Photographer: Corina Szrek
Imaging device: Optos California
Condition/keywords: familial exudative vitreoretinopathy (FEVR)
-
Familial Exudative Vitreoretinopathy (FEVR)
Apr 24 2021 by Alexandre Grandinetti, MD, PhD
6-year-old girl with retinal folds on both eyes secondary to FEVR.
Photographer: Corina Szrek
Imaging device: Optos California
Condition/keywords: familial exudative vitreoretinopathy (FEVR)
-
ROP 5A
Jan 24 2022 by Alexandre Grandinetti, MD, PhD
ROP retinal detachment.
Photographer: Alexandre Grandinetti
Imaging device: RetCam
Condition/keywords: retinopathy of prematurity (ROP), total retinal detachment
-
ROP related retinal detachment
Jun 8 2022 by Alexandre Grandinetti, MD, PhD
16-year-old girl with macula off retinal detachment and ROP cicatricial changes. She was born with 28 weeks of gestation and had no treatment
Photographer: Corina Skrzek, Hospital de Olhos do Paraná
Imaging device: California
Condition/keywords: rop retinal detachment
-
Traumatic Vitreous hemmorrhage in a 4-month-old baby
Nov 23 2022 by Alexandre Grandinetti, MD, PhD
This is a intraoperatory picture taken during a vitrectomy due to dense vitreous hemorrhage
Photographer: Alexandre Grandinetti
Imaging device: Ngenuity 3D
Condition/keywords: hemorrhage, vitreous
-
Type-1 ROP treated with laser
Nov 25 2022 by Alexandre Grandinetti, MD, PhD
This picture shows the case of a 8-year-old girl born with 26 weeks of gestation, who was treated with laser photocoagulation due to type-1 ROP
Photographer: Corina Szrek, Hospital de Olhos do Paraná
Imaging device: California
Condition/keywords: retinopathy of prematurity (ROP), rop laser
-
Cavernous Hemangioma
Jun 3 2023 by Alexandre Grandinetti, MD, PhD
Fundus photograph of a 44-year-old woman with a cavernous hemangioma
Imaging device: Optos California
Condition/keywords: cavernous hemangioma
-
Retinal Detachment After Retinoblastoma Treatment
Mar 10 2024 by Alexandre Grandinetti, MD, PhD
Inferior retinal detachment occurring 6 years after treatment with intraarterial chemotherapy and laser in an 8-year-old boy.
Photographer: Corina Szrek
Condition/keywords: pediatric, retinoblastoma
