-
Coats' Disease
Mar 4 2017 by Hashim Ali Khan, OD, FAAO
Color Fundus Image of an 18-year-old girl with Coats disease.
Condition/keywords: Coats' disease, exudates over the posterior pole, macular edema, macular telangiectasia
-
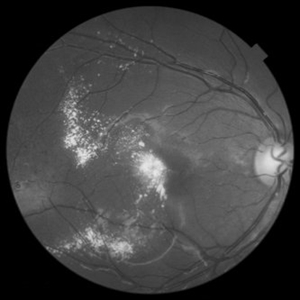
Red Free Photograph of an 18-Year-Old Female with Coats' Disease
Mar 4 2017 by Hashim Ali Khan, OD, FAAO
Aneurysms, TEL and exudation.
Condition/keywords: aneurysm, Coats' disease, exudate, light-bulb aneurysms
-
OCT of 18-Year-Old Girl With Coats Disease
Mar 4 2017 by Hashim Ali Khan, OD, FAAO
OCT B scan showing intraretinal exudation and fluid.
Condition/keywords: B scan ultrasound, Coats' disease, exudate
