A 58 year old African-American woman was referred with vitreous hemorrhage OS. She reported a history of sickle cell (SC) disease but normal eye exams until recently. She denied a history of diabetes, hypertension, or ocular trauma. 
She was noted to have visual acuities of 20/25 OU and a partial PVD with subhyaloid hemorrhage overlying macula OS. Retinal exam revealed neovascularization peripherally only as well as scattered lattice degeneration and possible pigmented lesions known as "sunbursts". 
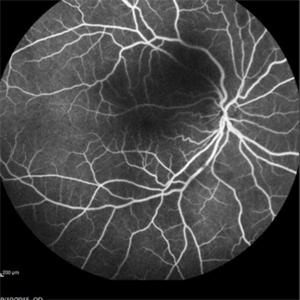
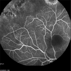
Angiography showed normal vessels posteriorly but severe capillary drop out throughout the periphery OU with scattered severe neovascularization at the edge of the capillary drop out peripherally. 
She was diagnosed with Sickle Cell Retinopathy (stage 4) OS> (stage 3) OD complicated by subhyaloid hemorrhage OS and retinal neovascularization OU. Since the vitreous hemorrhage limited the view for peripheral panretinal laser photocoagulation, she underwent Avastin injection OU and is to undergo laser treatment once the vitreous hemorrhage clears. 
Sickle retinopathy is most common with Sickle SC rather than SS, but retinopathy can be seen with either. Proliferative Retinopathy has been classified into 5 stages by Goldberg; Stage 1: Peripheral arteriolar occlusion or capillary nonperfusion Stage 2: Vascular remodeling at the boundary between perfused and nonperfused peripheral retina Stage 3: "Seafan" peripheral retinal neovascularization Stage 4: Vitreous hemorrhage Stage 5: Vitreous band, complicated with rhegmatogenous and tractional retinal detachment
- 
     Sickle Cell Retinopathy Sickle Cell RetinopathySep 13 2015 by Thomas A. Ciulla, MD, MBA, FASRS Angiography showed normal vessels posteriorly but severe capillary drop out throughout the periphery OU with scattered severe neovascularization at the edge of the capillary drop out peripherally. Photographer: Thomas Steele Condition/keywords: peripheral retinal neovascularization, sea fan, sickle cell retinopathy 
- 
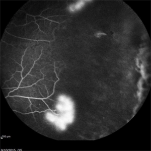
     Sickle Cell Retinopathy Sickle Cell RetinopathySep 13 2015 by Thomas A. Ciulla, MD, MBA, FASRS Angiography showed normal vessels posteriorly but severe capillary drop out throughout the periphery OU with scattered severe neovascularization at the edge of the capillary drop out peripherally. Note the preretinal and vitreous hemorrhage obscuring the view of the retinal vasculature. Photographer: Thomas Steele Condition/keywords: peripheral retinal neovascularization, sea fan, sickle cell retinopathy 
- 
     Sickle Cell Retinopathy Sickle Cell RetinopathySep 13 2015 by Thomas A. Ciulla, MD, MBA, FASRS Angiography showed normal vessels posteriorly but severe capillary drop out throughout the periphery OU with scattered severe neovascularization at the edge of the capillary drop out peripherally. Photographer: Thomas Steele Condition/keywords: peripheral retinal neovascularization, sea fan, sickle cell retinopathy 
- 
     Sickle Cell Retinopathy Sickle Cell RetinopathySep 13 2015 by Thomas A. Ciulla, MD, MBA, FASRS Angiography showed normal vessels posteriorly but severe capillary drop out throughout the periphery OU with scattered severe neovascularization at the edge of the capillary drop out peripherally. Photographer: Thomas Steele Condition/keywords: peripheral retinal neovascularization, sea fan, sickle cell retinopathy 
- 
     Sickle Cell Retinopathy Sickle Cell RetinopathySep 13 2015 by Thomas A. Ciulla, MD, MBA, FASRS Angiography showed normal vessels posteriorly but severe capillary drop out throughout the periphery OU with scattered severe neovascularization at the edge of the capillary drop out peripherally. Photographer: Thomas Steele Condition/keywords: peripheral retinal neovascularization, sea fan, sickle cell retinopathy 
- 
     Sickle Cell Retinopathy Sickle Cell RetinopathySep 13 2015 by Thomas A. Ciulla, MD, MBA, FASRS Angiography showed normal vessels posteriorly but severe capillary drop out throughout the periphery OU with scattered severe neovascularization at the edge of the capillary drop out peripherally. Photographer: Thomas Steele Condition/keywords: peripheral retinal neovascularization, sea fan, sickle cell retinopathy 
- 
     Sickle Cell Retinopathy Sickle Cell RetinopathySep 13 2015 by Thomas A. Ciulla, MD, MBA, FASRS Angiography showed normal vessels posteriorly but severe capillary drop out throughout the periphery OU with scattered severe neovascularization at the edge of the capillary drop out peripherally. Photographer: Thomas Steele Condition/keywords: peripheral retinal neovascularization, sea fan, sickle cell retinopathy 
- 
     Sickle Cell Retinopathy Sickle Cell RetinopathySep 13 2015 by Thomas A. Ciulla, MD, MBA, FASRS Angiography showed normal vessels posteriorly but severe capillary drop out throughout the periphery OU with scattered severe neovascularization at the edge of the capillary drop out peripherally. Photographer: Thomas Steele Condition/keywords: peripheral retinal neovascularization, sea fan, sickle cell retinopathy 
- 
     Sickle Cell Retinopathy Sickle Cell RetinopathySep 13 2015 by Thomas A. Ciulla, MD, MBA, FASRS Angiography showed normal vessels posteriorly but severe capillary drop out throughout the periphery OU with scattered severe neovascularization at the edge of the capillary drop out peripherally. Photographer: Thomas Steele Condition/keywords: peripheral retinal neovascularization, sea fan, sickle cell retinopathy 
- 
     Sickle Cell Retinopathy Sickle Cell RetinopathySep 13 2015 by Thomas A. Ciulla, MD, MBA, FASRS Angiography showed normal vessels posteriorly but severe capillary drop out throughout the periphery OU with scattered severe neovascularization at the edge of the capillary drop out peripherally. Photographer: Thomas Steele Condition/keywords: peripheral retinal neovascularization, sea fan, sickle cell retinopathy 
- 
     Sickle Cell Retinopathy Sickle Cell RetinopathySep 13 2015 by Thomas A. Ciulla, MD, MBA, FASRS Angiography showed normal vessels posteriorly but severe capillary drop out throughout the periphery OU with scattered severe neovascularization at the edge of the capillary drop out peripherally. Photographer: Thomas Steele Condition/keywords: peripheral retinal neovascularization, sea fan, sickle cell retinopathy 
