-
Retinal Capillary Hemangioblastoma
Feb 20 2015 by H. Michael Lambert, MD
Retinal capillary hemangioblastoma associated with Von Hippel-Lindau Disease. No history. Whitening around lesion possibly cryothermy or laser.
Condition/keywords: retinal capillary hemangioblastoma
-
Retinal Capillary Hemangioblastoma
Feb 20 2015 by H. Michael Lambert, MD
Retinal capillary hemangioblastoma associated with Von Hippel-Lindau Disease. No history. Dilated tortuous vessel and hemorrhage is shown.
Condition/keywords: retinal capillary hemangioblastoma
-
Retinal Capillary Hemangioblastoma
Feb 20 2015 by H. Michael Lambert, MD
Retinal capillary hemangioblastoma associated with Von Hippel-Lindau Disease. No history. Whitening around lesion possibly cryothermy or laser.
Condition/keywords: retinal capillary hemangioma
-
Retinal Capillary Hemangioblastoma
Feb 20 2015 by H. Michael Lambert, MD
Retinal capillary hemangioblastoma associated with Von Hippel-Lindau Disease. No history. Dilated tortuous vessel and hemorrhage is shown.
Condition/keywords: retinal capillary hemangioblastoma, Von Hippel-Lindau
-
Retinal Capillary Hemangioblastoma
Feb 20 2015 by H. Michael Lambert, MD
Retinal capillary hemangioblastoma associated with Von Hippel-Lindau Disease. No history. Dilated, tortuous afferent and efferent vessels are shown.
Condition/keywords: retinal capillary hemangioblastoma
-
Retinal Capillary Hemangioblastoma
Feb 20 2015 by H. Michael Lambert, MD
Fluorescein angiogram of a retinal capillary hemangioblastoma associated with Von Hippel-Lindau Disease. No history. Dilated, tortuous afferent and efferent vessels are shown. Fluorescein leakage is beginning in the rather early frame.
Condition/keywords: retinal capillary hemangioblastoma
-
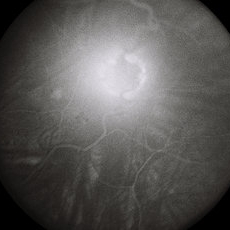
Retinal Capillary Hemangioblastoma
Feb 20 2015 by H. Michael Lambert, MD
Optic nerve in this eye with fibrosis over the nerve and posterior pole.
Condition/keywords: retinal capillary hemangioblastoma
-
Retinal Capillary Hemangioblastoma
Feb 20 2015 by H. Michael Lambert, MD
Fluorescein angiogram of a retinal capillary hemangioblastoma No history. Fluorescein leakage is abundant in this later frame.
Condition/keywords: retinal capillary hemangioblastoma
-
Retinal Capillary Hemangioblastoma
Feb 20 2015 by H. Michael Lambert, MD
Fluorescein angiogram of a retinal capillary hemangioblastoma No history. Fluorescein leakage is substantial in this mid-phase frame.
Condition/keywords: retinal capillary hemangioblastoma
-
Retinal Capillary Hemangioblastoma
Feb 20 2015 by H. Michael Lambert, MD
Retinal capillary hemangioblastoma associated with Von Hippel-Lindau Disease. No history. Dilated, tortuous afferent and efferent vessels are shown.
Condition/keywords: retinal capillary hemangioblastoma
-
Retinal Capillary Hemangioblastoma
Feb 20 2015 by H. Michael Lambert, MD
Retinal capillary hemangioblastoma associated with Von Hippel-Lindau Disease. No history. Dilated, tortuous afferent and efferent vessels are shown.
Condition/keywords: retinal capillary hemangioblastoma
-
Retinal Capillary Hemangioblastoma
Feb 20 2015 by H. Michael Lambert, MD
Small retinal capillary hemangioblastoma associated with Von Hippel-Lindau Disease. No history.
Condition/keywords: retinal capillary hemangioblastoma
-
Retinal Capillary Hemangioblastoma
Feb 20 2015 by H. Michael Lambert, MD
Small retinal capillary hemangioblastoma associated with Von Hippel-Lindau Disease. No history.
Condition/keywords: retinal capillary hemangioblastoma
-
Retinal Capillary Hemangioblastoma
Feb 20 2015 by H. Michael Lambert, MD
Fluorescein angiogram of a retinal capillary hemangioblastoma associated with Von Hippel-Lindau Disease. No history. Fluorescein leakage is vague and lesion looks somewhat indolent.
Condition/keywords: retinal capillary hemangioblastoma
-
Retinal Capillary Hemangioblastoma
Feb 20 2015 by H. Michael Lambert, MD
47-year-old with 20/20 OU. Fellow right eye of patient with retinal capillary hemangioblastoma associated the optic nerve in the left eye, in a patient with Von Hippel-Lindau Disease. Small nerve fiber layer hemorrhage is present.
Condition/keywords: retinal capillary hemangioblastoma
-
Retinal Capillary Hemangioblastoma
Feb 20 2015 by H. Michael Lambert, MD
47-year-old with 20/20 OU. Fellow right eye of patient with retinal capillary hemangioblastoma associated the optic nerve in the left eye, in a patient with Von Hippel-Lindau Disease. Small nerve fiber layer hemorrhage is present.
Condition/keywords: retinal capillary hemangioblastoma
-
Retinal Capillary Hemangioblastoma
Feb 20 2015 by H. Michael Lambert, MD
47-year-old with 20/20 OU. Fellow right eye of patient with retinal capillary hemangioblastoma associated the optic nerve in the left eye, in a patient with Von Hippel-Lindau Disease. Small nerve fiber layer hemorrhage is present.
Condition/keywords: retinal capillary hemangioblastoma
-
Retinal Capillary Hemangioblastoma
Feb 20 2015 by H. Michael Lambert, MD
47-year-old with 20/20 OU. Fellow right eye of patient with retinal capillary hemangioblastoma associated the optic nerve in the left eye, in a patient with Von Hippel-Lindau Disease. Small nerve fiber layer hemorrhage is present.
Condition/keywords: retinal capillary hemangioblastoma
-
Retinal Capillary Hemangioblastoma
Feb 20 2015 by H. Michael Lambert, MD
47-year-old with 20/20 OU. Fellow right eye of patient with retinal capillary hemangioblastoma associated the optic nerve in the left eye, in a patient with Von Hippel-Lindau Disease. Small nerve fiber layer hemorrhage is present.
Condition/keywords: retinal capillary hemangioblastoma
-
Retinal Capillary Hemangioblastoma
Feb 20 2015 by H. Michael Lambert, MD
47-year-old with 20/20 OU. Fellow right eye of patient with retinal capillary hemangioblastoma associated the optic nerve in the left eye, in a patient with Von Hippel-Lindau Disease. Small nerve fiber layer hemorrhage is present.
Condition/keywords: retinal capillary hemangioblastoma
-
Retinal Capillary Hemangioblastoma
Feb 20 2015 by H. Michael Lambert, MD
47-year-old with 20/20 OU. Fellow right eye of patient with retinal capillary hemangioblastoma associated the optic nerve in the left eye, in a patient with Von Hippel-Lindau Disease. Small nerve fiber layer hemorrhage is present.
Condition/keywords: retinal capillary hemangioblastoma
-
Retinal Capillary Hemangioblastoma
Feb 20 2015 by H. Michael Lambert, MD
47-year-old with 20/20 OU. Peripapillary retinal capillary hemangioblastoma OS in a patient with Von Hippel-Lindau Disease.
Condition/keywords: retinal capillary hemangioblastoma
-
Retinal Capillary Hemangioblastoma
Feb 20 2015 by H. Michael Lambert, MD
47-year-old with 20/20 OU. Peripapillary retinal capillary hemangioblastoma OS in a patient with Von Hippel-Lindau Disease.
Condition/keywords: retinal capillary hemangioblastoma
-
Retinal Capillary Hemangioblastoma
Feb 20 2015 by H. Michael Lambert, MD
47-year-old with 20/20 OU. Peripapillary retinal capillary hemangioblastoma OS in a patient with Von Hippel-Lindau Disease.
Condition/keywords: retinal capillary hemangioblastoma
-
Retinal Capillary Hemangioblastoma
Feb 20 2015 by H. Michael Lambert, MD
47-year-old with 20/20 OU. Peripapillary retinal capillary hemangioblastoma OS in a patient with Von Hippel-Lindau Disease.
Condition/keywords: retinal capillary hemangioblastoma
-
Retinal Capillary Hemangioblastoma
Feb 20 2015 by H. Michael Lambert, MD
47-year-old with 20/20 OU. Peripapillary retinal capillary hemangioblastoma OS in a patient with Von Hippel-Lindau Disease.
Condition/keywords: retinal capillary hemangioblastoma
-
Retinal Capillary Hemangioblastoma
Feb 20 2015 by H. Michael Lambert, MD
47-year-old with 20/20 OU. Fellow right eye of patient with retinal capillary hemangioblastoma associated the optic nerve in the left eye, in a patient with Von Hippel-Lindau Disease.
Condition/keywords: retinal capillary hemangioblastoma
-
Retinal Capillary Hemangioblastoma
Feb 20 2015 by H. Michael Lambert, MD
47-year-old with 20/20 OU. Fellow right eye of patient with retinal capillary hemangioblastoma associated the optic nerve in the left eye, in a patient with Von Hippel-Lindau Disease.
Condition/keywords: retinal capillary hemangioblastoma
-
Retinal Capillary Hemangioblastoma
Feb 20 2015 by H. Michael Lambert, MD
47-year-old with 20/20 OU. Peripapillary retinal capillary hemangioblastoma OS in a patient with Von Hippel-Lindau Disease.
Condition/keywords: retinal capillary hemangioblastoma
-
Retinal Capillary Hemangioblastoma
Feb 20 2015 by H. Michael Lambert, MD
47-year-old with 20/20 OU. Peripapillary retinal capillary hemangioblastoma OS in a patient with Von Hippel-Lindau Disease.
Condition/keywords: retinal capillary hemangioblastoma
-
Retinal Capillary Hemangioblastoma
Feb 20 2015 by H. Michael Lambert, MD
No history. Peripheral angioma. Prominent afferent and efferent vessel but it looks to be previously treated and regressed. Over 2 years, no change.
Condition/keywords: retinal capillary hemangioblastoma
-
Retinal Capillary Hemangioblastoma
Feb 20 2015 by H. Michael Lambert, MD
No history. Small capillary angioma peripherally located.
Condition/keywords: retinal capillary hemangioblastoma
-
Retinal Capillary Hemangioblastoma
Feb 20 2015 by H. Michael Lambert, MD
No history. Small capillary angioma peripherally located.
Condition/keywords: retinal capillary hemangioblastoma
-
Retinal Capillary Hemangioblastoma
Feb 20 2015 by H. Michael Lambert, MD
No history. Peripheral angioma. Previously treated, probably laser, and resolved.
Condition/keywords: retinal capillary hemangioblastoma
-
Retinal Capillary Hemangioblastoma
Feb 20 2015 by H. Michael Lambert, MD
No history. Peripheral angioma. Previously treated, probably laser, and resolved.
Condition/keywords: retinal capillary hemangioblastoma
