-
Trauma
-
Trauma
Jan 8 2015 by H. Michael Lambert, MD
Pre-retinal and retinal hemorrhage with foreign body.
Condition/keywords: intraocular foreign body, trauma
-
Trauma
-
Trauma
-
Trauma
Jan 8 2015 by H. Michael Lambert, MD
Wood foreign body embedded in superior orbit.
Condition/keywords: trauma
-
Trauma
-
Trauma
Jan 8 2015 by H. Michael Lambert, MD
Surgical view- exposing globe to repair traumatic rupture.
Condition/keywords: trauma
-
Trauma
Jan 8 2015 by H. Michael Lambert, MD
Surgical view- exposing globe to repair traumatic rupture. Limited view blocked by surgeon hands.
Condition/keywords: trauma
-
Trauma
-
Trauma
-
Trauma
Jan 8 2015 by H. Michael Lambert, MD
Pre-retinal and retinal hemorrhage.
Condition/keywords: retinal hemorrhage, trauma
-
Trauma
-
Trauma
-
Trauma
-
Trauma
-
Trauma
-
Trauma
-
Trauma
-
Trauma
Jan 8 2015 by H. Michael Lambert, MD
Traumatic posterior subretinal fibrosis.
Condition/keywords: trauma
-
Trauma
-
Trauma
-
Trauma
-
Trauma
-
Trauma
-
Trauma
Jan 8 2015 by H. Michael Lambert, MD
Choroidal rupture with fresh hemorrhage
Condition/keywords: trauma
-
Trauma
-
Trauma
-
Trauma
Jan 8 2015 by H. Michael Lambert, MD
Anterior segment image with subconj heme.
Condition/keywords: trauma
-
Trauma
-
Trauma
Jan 8 2015 by H. Michael Lambert, MD
Metal IOFB.
Condition/keywords: intraocular foreign body, trauma
-
Trauma
-
Trauma
Jan 8 2015 by H. Michael Lambert, MD
Knife, gun, club, pick, bleach and other causes of trauma.
Condition/keywords: trauma
-
Trauma
-
Trauma
-
Trauma
-
Trauma
-
Trauma
-
Trauma
-
Trauma
-
Trauma
Jan 8 2015 by H. Michael Lambert, MD
External view trauma with fibrotic corneal scar.
Condition/keywords: trauma
-
Trauma
Jan 8 2015 by H. Michael Lambert, MD
External view trauma with chemosis and subconj heme.
Condition/keywords: trauma
-
Trauma
Jan 8 2015 by H. Michael Lambert, MD
Surgical view repairing scleral rupture.
Condition/keywords: trauma
-
Trauma
-
Trauma
-
Trauma
-
Trauma
-
Trauma
-
Trauma
-
Trauma
-
Trauma
-
Trauma
-
Trauma
-
Trauma
-
Trauma
-
Trauma
-
Trauma
-
Trauma
Jan 8 2015 by H. Michael Lambert, MD
Metal IOFB.
Condition/keywords: intraocular foreign body, trauma
-
Trauma
-
Trauma
Jan 8 2015 by H. Michael Lambert, MD
Surgical view repairing ruptured globe.
Condition/keywords: trauma
-
Trauma
Jan 8 2015 by H. Michael Lambert, MD
Surgical view placing scleral buckle in repair of ruptured globe.
Condition/keywords: trauma
-
Trauma
Jan 8 2015 by H. Michael Lambert, MD
Surgical view of repaired lid laceration with hyphema.
Condition/keywords: trauma
-
Trauma
Jan 8 2015 by H. Michael Lambert, MD
Surgical view harvesting graft tissue.
Condition/keywords: trauma
-
Trauma
-
Trauma
Jan 8 2015 by H. Michael Lambert, MD
External view of intubated patient after lid laceration repair.
Condition/keywords: trauma
-
Trauma
-
Trauma
Jan 8 2015 by H. Michael Lambert, MD
External view of sutured lid laceration.
Condition/keywords: trauma
-
Trauma
Jan 8 2015 by H. Michael Lambert, MD
External view of healed patient after lid laceration repair.
Condition/keywords: trauma
-
Trauma
-
Trauma
-
Trauma
-
Trauma
-
Trauma
-
Trauma
-
Trauma
Jan 8 2015 by H. Michael Lambert, MD
Posterior perforation site from penetrating trauma.
Condition/keywords: trauma
-
Trauma
Jan 8 2015 by H. Michael Lambert, MD
Internal erosion of scleral buckle seen beneath the retina.
Condition/keywords: trauma
-
Eye Shields - Collection
-
Knife in Eye
-
Subluxation of Lens
-
Corneal Wound - Sutured
-
Trauma – Posterior Penetration
Aug 7 2015 by H. Michael Lambert, MD
Trauma – posterior penetration – no history, probably double perforation. Some laser surround the lesion. Fundus photo, inferotemporally OD.
Condition/keywords: laser, posterior perforation, trauma
-
Trauma – Posterior Penetration
Aug 7 2015 by H. Michael Lambert, MD
Trauma – posterior penetration – no history, probably double perforation. Some laser surround the lesion. Fundus photo, inferotemporally OD.
Condition/keywords: laser, posterior perforation, trauma
-
Trauma – Posterior Penetration
Aug 7 2015 by H. Michael Lambert, MD
Trauma – posterior penetration – no history, probably double perforation. Some laser surround the lesion. Fundus photo, inferotemporally OD.
Condition/keywords: laser, posterior perforation, trauma
-
Trauma – Posterior Penetration
Aug 7 2015 by H. Michael Lambert, MD
Trauma – posterior penetration – no history, probably double perforation. Some laser surround the lesion. Fundus photo, inferotemporally OD.
Condition/keywords: laser, posterior perforation, trauma
-
Trauma – Posterior Penetration
Aug 7 2015 by H. Michael Lambert, MD
Trauma – posterior penetration – no history, probably double perforation. Some laser surround the lesion. Fundus photo, inferotemporally OD.
Condition/keywords: laser, posterior perforation, trauma
-
Trauma – Posterior Penetration
Aug 7 2015 by H. Michael Lambert, MD
Trauma – posterior penetration – no history, probably double perforation. Some laser surround the lesion. Fundus photo, inferotemporally OD.
Condition/keywords: laser, posterior perforation, trauma
-
Trauma – Posterior Penetration
Aug 7 2015 by H. Michael Lambert, MD
Trauma – posterior penetration – no history, probably double perforation. Some laser surround the lesion. Fundus photo, inferotemporally OD.
Condition/keywords: laser, posterior perforation, trauma
-
Trauma – Posterior Penetration
Aug 7 2015 by H. Michael Lambert, MD
Trauma – posterior penetration – no history, probably double perforation. Some laser surround the lesion. Fundus photo, inferotemporally OD.
Condition/keywords: laser, posterior perforation, trauma
-
Trauma – Posterior Penetration
Aug 7 2015 by H. Michael Lambert, MD
Trauma – posterior penetration – no history, probably double perforation. Some laser surround the lesion. Fundus photo, inferotemporally OD.
Condition/keywords: laser, posterior perforation, trauma
-
Trauma – Posterior Penetration
Aug 7 2015 by H. Michael Lambert, MD
Trauma – posterior penetration – no history, probably double perforation. Some laser surround the lesion. Fundus photo, inferotemporally OD.
Condition/keywords: laser, posterior perforation, trauma
-
Trauma – Posterior Penetration
Aug 7 2015 by H. Michael Lambert, MD
Trauma – posterior penetration – no history, probably double perforation. Some laser surround the lesion. Fundus photo, inferotemporally OD.
Condition/keywords: posterior perforation, trauma
-
Trauma – Posterior Penetration
Aug 7 2015 by H. Michael Lambert, MD
Trauma – posterior penetration – no history, probably double perforation. Some laser surround the lesion. Fundus photo, inferotemporally OD.
Condition/keywords: laser, posterior perforation, trauma
-
Trauma – Surgical View – Long Scleral Laceration Repair
Aug 7 2015 by H. Michael Lambert, MD
Trauma – surgical view – long scleral laceration repair; probably hypotonous eye.
Condition/keywords: scleral laceration, trauma
-
Trauma – Surgical View – Long Scleral Laceration Repair
Aug 7 2015 by H. Michael Lambert, MD
Trauma – surgical view – long scleral laceration repair; probably hypotonous eye.
Condition/keywords: scleral laceration, trauma
-
Trauma – Surgical View – Long Scleral Laceration Repair
Aug 7 2015 by H. Michael Lambert, MD
Trauma – surgical view – long scleral laceration repair; showing intact globe after repair.
Condition/keywords: scleral laceration, trauma
-
Trauma – Surgical View – Long Scleral Laceration Repair
Aug 7 2015 by H. Michael Lambert, MD
Trauma – surgical view – long scleral laceration repair; probably hypotonous eye.
Condition/keywords: scleral laceration, trauma
-
Tetracaine Drops and Bent Paperclips
-
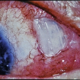
Trauma – Limbal Perforation
Aug 11 2015 by H. Michael Lambert, MD
Trauma – limbal perforation – possibly foreign body present.
Condition/keywords: intraocular foreign body, trauma
-
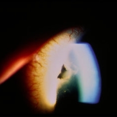
Trauma – Cornea and Iris Perforation Site
Aug 11 2015 by H. Michael Lambert, MD
Anterior photo of corneal and iris perforation.
Condition/keywords: cornea, iris
-
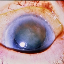
Trauma –Cornea and Iris Perforation Site
Aug 11 2015 by H. Michael Lambert, MD
Anterior photo of corneal and iris perforation.
Condition/keywords: cornea, iris, trauma
-
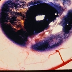
Trauma – Corneal Perforation
Aug 11 2015 by H. Michael Lambert, MD
Anterior photo of corneal and iris perforation.
Condition/keywords: cornea, trauma
-
Trauma – Surgery View
Aug 11 2015 by H. Michael Lambert, MD
View of set up for surgery.
Condition/keywords: ophthalmic surgery, trauma
