-
Retinoblastoma
-
Retinoblastoma
Dec 22 2014 by H. Michael Lambert, MD
Peripheral retinal photo of tumor
Condition/keywords: retinoblastoma, tumor
-
Retinoblastoma
Dec 22 2014 by H. Michael Lambert, MD
Histopathologic section with rosettes.
Condition/keywords: retinoblastoma
-
Retinoblastoma
Dec 22 2014 by H. Michael Lambert, MD
Histopathologic section with rosettes and fleurettes.
Condition/keywords: retinoblastoma
-
Retinoblastoma
Dec 22 2014 by H. Michael Lambert, MD
Cartoon of routes of spread.
Condition/keywords: cartoon, retinoblastoma
-
Retinoblastoma
Dec 22 2014 by H. Michael Lambert, MD
Histopathologic section listed as pseudo-rosettes.
Condition/keywords: retinoblastoma
-
Retinoblastoma
-
Retinoblastoma
Dec 22 2014 by H. Michael Lambert, MD
Histopathologic section with perineural invasion.
Condition/keywords: retinoblastoma
-
Retinoblastoma
Dec 22 2014 by H. Michael Lambert, MD
Histopathologic section with rosettes.
Condition/keywords: retinoblastoma
-
Retinoblastoma
-
Retinoblastoma
Dec 22 2014 by H. Michael Lambert, MD
Facial photo of metastases to the face and neck.
Condition/keywords: retinoblastoma
-
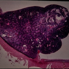
Retinoblastoma
Dec 22 2014 by H. Michael Lambert, MD
Hisopathologic section of eye with retinoblastoma, vitreous seeding, optic nerve invasion, and extrascleral spread.
Condition/keywords: vitreous seeding
-
Retinoblastoma
Dec 22 2014 by H. Michael Lambert, MD
Hisopathologic section with rosettes.
Condition/keywords: retinoblastoma
