PIC vs. MEWDS & MFC. OS VA sc HM
-
Suspected Multiple Evanescent White Dot Syndrome
Mar 4 2015 by Stuart Alfred, CRA, OCT-C
SD-OCT OS of 28-year-old Caucasian female.
Photographer: Stuart Alfred, CRA, OCT-C
Condition/keywords: dry age-related macular degeneration (dry AMD), macular drusen, multiple evanescent white dot syndrome (MEWDS), punctate inner choroidopathy (PIC), uveitis
-
Suspected Multiple Evanescent White Dot Syndrome
Mar 4 2015 by Stuart Alfred, CRA, OCT-C
SD-OCT OS of 28-year-old Caucasian female.
Photographer: Stuart Alfred, CRA, OCT-C
Condition/keywords: dry age-related macular degeneration (dry AMD), macular drusen, multiple evanescent white dot syndrome (MEWDS), punctate inner choroidopathy (PIC), uveitis
-
Suspected Multiple Evanescent White dot Syndrome
Mar 4 2015 by Stuart Alfred, CRA, OCT-C
SD-OCT OS of 28-year-old Caucasian female.
Photographer: Stuart Alfred, CRA, OCT-C
Condition/keywords: dry age-related macular degeneration (dry AMD), macular drusen, multiple evanescent white dot syndrome (MEWDS), punctate inner choroidopathy (PIC), uveitis
-
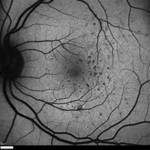
Suspected Multiple Evanescent White Dot Syndrome
Mar 3 2015 by Stuart Alfred, CRA, OCT-C
30 degree view, red free image of left fundus of a 28-year-old Caucasian female.
Photographer: Stuart Alfred, CRA, OCT-C, Midwest Eye Institute, Greenwood Indiana
Imaging device: cSLO by Heidelberg engineering (Spectralis)
Condition/keywords: dry age-related macular degeneration (dry AMD), multiple evanescent white dot syndrome (MEWDS), punctate inner choroidopathy (PIC), uveitis
-
Suspected Multiple Evanescent White Dot Syndrome
Mar 3 2015 by Stuart Alfred, CRA, OCT-C
20 degree view, red free image of left macula of a 28-year-old Caucasian female.
Photographer: Stuart Alfred, CRA, OCT-C, Midwest Eye Institute, Greenwood Indiana
Imaging device: cSLO by Heidelberg engineering (Spectralis)
Condition/keywords: dry age-related macular degeneration (dry AMD), multiple evanescent white dot syndrome (MEWDS), punctate inner choroidopathy (PIC), uveitis
-
Suspected Multiple Evanescent White Dot Syndrome
Mar 3 2015 by Stuart Alfred, CRA, OCT-C
30 degree fundus autofluorescence image of left fundus of a 28-year-old Caucasian female.
Photographer: Stuart Alfred, CRA, OCT-C, Midwest Eye Institute, Greenwood, Indiana
Imaging device: cSLO by Heidelberg engineering (Spectralis)
Condition/keywords: dry age-related macular degeneration (dry AMD), multiple evanescent white dot syndrome (MEWDS), punctate inner choroidopathy (PIC), uveitis
-
Suspected Multiple Evanescent White Dot Syndrome
Mar 3 2015 by Stuart Alfred, CRA, OCT-C
20 degree view, infrared image of left macula of a 28-year-old Caucasian female.
Photographer: Stuart Alfred, CRA, OCT-C, Midwest Eye Institute, Greenwood Indiana
Imaging device: cSLO by Heidelberg engineering (Spectralis)
Condition/keywords: dry age-related macular degeneration (dry AMD), multiple evanescent white dot syndrome (MEWDS), punctate inner choroidopathy (PIC), uveitis
-
Suspected Multiple Evanescent White Dot Syndrome
Mar 3 2015 by Stuart Alfred, CRA, OCT-C
30 degree view early frame angiogram image of left fundus of a 28-year-old Caucasian female.
Photographer: Stuart Alfred, CRA, OCT-C, Midwest Eye Institute, Greenwood, Indiana
Imaging device: cSLO by Heidelberg engineering (Spectralis)
Condition/keywords: dry age-related macular degeneration (dry AMD), multiple evanescent white dot syndrome (MEWDS), punctate inner choroidopathy (PIC), uveitis
-
Suspected Multiple Evanescent White Dot Syndrome
Mar 3 2015 by Stuart Alfred, CRA, OCT-C
30 degree early transit phase angiogram image of left fundus of a 28-year-old Caucasian female. Timing slightly off.
Photographer: Stuart Alfred, CRA, OCT-C, Midwest Eye Institute, Greenwood, Indiana
Imaging device: cSLO by Heidelberg engineering (Spectralis)
Condition/keywords: dry age-related macular degeneration (dry AMD), multiple evanescent white dot syndrome (MEWDS), punctate inner choroidopathy (PIC), uveitis
-
Suspected Multiple Evanescent White Dot Syndrome
Mar 3 2015 by Stuart Alfred, CRA, OCT-C
30 degree view, mid phase fluorescein angiogram image of left fundus of a 28-year-old Caucasian female.
Photographer: Stuart Alfred, CRA, OCT-C, Midwest Eye Institute, Greenwood, Indiana
Imaging device: cSLO by Heidelberg engineering (Spectralis)
Condition/keywords: dry age-related macular degeneration (dry AMD), multiple evanescent white dot syndrome (MEWDS), punctate inner choroidopathy (PIC), uveitis
-
Suspected Multiple Evanescent White Dot Syndrome
Mar 3 2015 by Stuart Alfred, CRA, OCT-C
30 degree view, early phase angiogram image of left fundus of a 28-year-old Caucasian female.
Photographer: Stuart Alfred, CRA, OCT-C, Midwest Eye Institute, Greenwood, Indiana
Imaging device: cSLO by Heidelberg engineering (Spectralis)
Condition/keywords: dry age-related macular degeneration (dry AMD), multiple evanescent white dot syndrome (MEWDS), punctate inner choroidopathy (PIC), uveitis
-
Suspected Multiple Evanescent White Dot Syndrome
Mar 3 2015 by Stuart Alfred, CRA, OCT-C
30 degree, late phase angiogram image of left fundus of a 28-year-old Caucasian female.
Photographer: Stuart Alfred, CRA, OCT-C, Midwest Eye Institute, Greenwood, Indiana
Imaging device: cSLO by Heidelberg engineering (Spectralis)
Condition/keywords: dry age-related macular degeneration (dry AMD), multiple evanescent white dot syndrome (MEWDS), punctate inner choroidopathy (PIC), uveitis
