A 75 year-old woman complained of painless progressive blurring of central vision OU. She had a history of diabetes for 15 years but had never required treatment for diabetic retinopathy. Her best corrected visual acuities were 20/50 OU. She was noted to have moderate cataracts. She was noted to have mild drusen and mild epiretinal membranes and referred to the retina service. She was diagnosed with idiopathic juxtafoveal telangiectasia, type 2, which affects both men and women and occurs bilaterally. Note the characteristic pseudocysts on OCT. Note the fine telangiectactic vessels temporal to the FAZ on angiography.
-
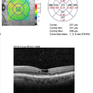
Idiopathic Juxtafoveal Telangiectasia, Type 2
Nov 6 2014 by Thomas A. Ciulla, MD, MBA, FASRS
Note the characteristic pseudocyst on OCT.
Photographer: Thomas Steele
Condition/keywords: idiopathic macular telangiectasia, juxtafoveal telangiectasis, parafoveal telangiectasia
-
Idiopathic Juxtafoveal Telangiectasia, Type 2
Nov 6 2014 by Thomas A. Ciulla, MD, MBA, FASRS
Note the characteristic pseudocyst on OCT.
Photographer: Thomas Steele
Condition/keywords: idiopathic macular telangiectasia, juxtafoveal telangiectasis, parafoveal telangiectasia
-
Idiopathic Juxtafoveal Telangiectasia, Type 2
Nov 6 2014 by Thomas A. Ciulla, MD, MBA, FASRS
Note the telangiectactic vessels just temporal to the FAZ.
Photographer: Thomas Steele
Condition/keywords: idiopathic macular telangiectasia, juxtafoveal telangiectasis, parafoveal telangiectasia
-
Idiopathic Juxtafoveal Telangiectasia, Type 2
Nov 6 2014 by Thomas A. Ciulla, MD, MBA, FASRS
Note the telangiectactic vessels just temporal to the FAZ.
Photographer: Thomas Steele
Condition/keywords: idiopathic macular telangiectasia, juxtafoveal telangiectasis, parafoveal telangiectasia
-
Idiopathic Juxtafoveal Telangiectasia, Type 2
Nov 6 2014 by Thomas A. Ciulla, MD, MBA, FASRS
Note the telangiectactic vessels just temporal to the FAZ.
Photographer: Thomas Steele
Condition/keywords: idiopathic macular telangiectasia, juxtafoveal telangiectasis, parafoveal telangiectasia
-
Idiopathic Juxtafoveal Telangiectasia, Type 2
Nov 6 2014 by Thomas A. Ciulla, MD, MBA, FASRS
Note the telangiectactic vessels just temporal to the FAZ.
Photographer: Thomas Steele
Condition/keywords: idiopathic macular telangiectasia, juxtafoveal telangiectasis, parafoveal telangiectasia
-
Idiopathic Juxtafoveal Telangiectasia, Type 2
Nov 6 2014 by Thomas A. Ciulla, MD, MBA, FASRS
Note the telangiectactic vessels just temporal to the FAZ.
Photographer: Thomas Steele
Condition/keywords: idiopathic macular telangiectasia, juxtafoveal telangiectasis, parafoveal telangiectasia
-
Idiopathic Juxtafoveal Telangiectasia, Type 2
Nov 6 2014 by Thomas A. Ciulla, MD, MBA, FASRS
Note the telangiectactic vessels just temporal to the FAZ.
Photographer: Thomas Steele
Condition/keywords: idiopathic macular telangiectasia, juxtafoveal telangiectasis, parafoveal telangiectasia
