-
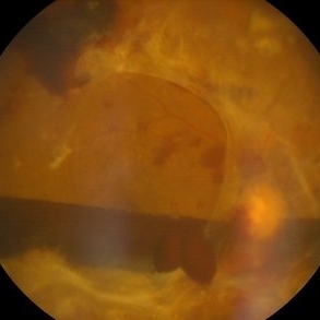
Proliferative Vitreoretinopathy
Nov 11 2019 by VERONICA ADRIANA ROMERO- MORALES, MD
Fundus photograph of a 34-year-old woman with a proliferative-vitreoretinopathy, observed 6 weeks after to be operated of vitrectomy + scleral buckle + SF6 20%. In the first visit presented rhegmatogenous retinal detachment and keratic precipitates.
Photographer: Nancy Sánchez Martínez, Indereb/ GOVISION, Queretaro, Mexico
Imaging device: Visucam,Zeiss
Condition/keywords: proliferative vitreoretinopathy (PVR)
-
Scleral-Buckle in Rhegmatogenous Retinal Detachment
Dec 18 2019 by VERONICA ADRIANA ROMERO- MORALES, MD
Trans-surgical photograph of a 40-year-old man with phakic eye, high myopia and macula off rhegmatogenous retinal detachment. Without complications after 5 years of follow up.
Photographer: Amanda Estrada López MD, GOVisión, Queretaro, Mexico.
Imaging device: Smartphone
Condition/keywords: high myopia, scleral buckle, surgical management
-
Monocular, Proliferative Diabetic Retinopathy
Sep 8 2021 by VERONICA ADRIANA ROMERO- MORALES, MD
Fundus photograph of a 70-year-old man with proliferative diabetic retinopathy and neovascular glaucoma. BCVA 20/200 right eye.
Photographer: Lic. Belgica Copado Andrade
Imaging device: Cobra HD
Condition/keywords: fibrovascular proliferation, ischaemic diabetic maculopathy, proliferative diabetic retinopathy (PDR), tractional retinal detachment
-
Proliferative Diabetic Retinopathy with Good Vision
Sep 8 2021 by VERONICA ADRIANA ROMERO- MORALES, MD
Fundus photograph of a 56-year-old man with proliferative diabetic retinopathy. BCVA 20/40 left eye.
Photographer: Belgica Copado Andrade
Imaging device: Cobra HD
Condition/keywords: fibrovascular proliferation, ischaemic diabetic maculopathy, proliferative diabetic retinopathy (PDR), tractional retinal detachment
-
Monocular Proliferative Diabetic Retinopathy
Sep 8 2021 by VERONICA ADRIANA ROMERO- MORALES, MD
Fundus photograph of a 37-year-old woman with proliferative diabetic retinopathy and subhyaloid hemorrhage, 1 week of evolution.
Photographer: Belgica Copado Andrade
Imaging device: Cobra HD
Condition/keywords: neovascularization (NV), proliferative diabetic retinopathy (PDR), subhyaloid hemorrhage, thickening of the posterior hyaloid, vitreous blood
