-
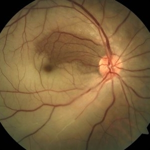
CRAO with cilioretinal artery sparing
May 4 2014 by Neha Goel, MS DNB FRCS (Glasg)
Fundus photograph of a 52-year-old male.
Photographer: Neha Goel
Imaging device: Zeiss Visucam
Condition/keywords: central retinal artery occlusion (CRAO), cilioretinal sparing
-
Branch Retinal Artery Occlusion
May 4 2014 by Neha Goel, MS DNB FRCS (Glasg)
Fundus photograph of a 35-year-old female.
Photographer: Neha Goel
Imaging device: Zeiss Visucam
Condition/keywords: arterial embolus, branch retinal artery occlusion (BRAO)
-
Branch Retinal Artery Occlusion FFA
May 4 2014 by Neha Goel, MS DNB FRCS (Glasg)
FFA of the patient confirming inferotemporal BRAO and also demonstrating the embolus in the retinal artery at the disc.
Photographer: Neha Goel
Imaging device: Zeiss Visucam
Condition/keywords: arterial embolus, branch retinal artery occlusion (BRAO)
