-
Intraocular Foreign Body
Apr 9 2014 by Aleksandra V. Rachitskaya, MD, FASRS
Fundus photo of intraocular foreign body located in the inferior retina.
Photographer: Bascom Palmer Eye Institute
Condition/keywords: intraocular foreign body
-
Endophthalmitis
Apr 9 2014 by Aleksandra V. Rachitskaya, MD, FASRS
Slit lamp photo of a patient with endophthalmitis after cataract surgery. An infectious infiltrate is noted next to the clear corneal incision.
Photographer: Bascom Palmer Eye Institute
Condition/keywords: cataract surgery, endophthalmitis
-
Stickler Syndrome
Dec 8 2016 by Aleksandra V. Rachitskaya, MD, FASRS
Optos wide-field fundus image of a patient with Stickler Syndrome and COL2A1 gene mutation. Patient has perviously undergone prophylactic laser. Lattice, vitreous veils, and laser scars are seen.
Photographer: Anne Pinter, Cole Eye Institute, Cleveland Clinic
Condition/keywords: Stickler Syndrome, vitreoretinal degeneration
-
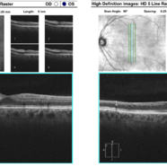
Acute and Chronic OCT of BRAO
Sep 9 2021 by Aleksandra V. Rachitskaya, MD, FASRS
Acute and chronic OCT findings in BRAO. Acutely, inner retinal hyper-reflectivity is seen. Chronically, retina atrophy ensues.
Condition/keywords: BRAO, OCT
