-
Torpedo Maculopathy 11
Feb 26 2014 by Raj K. Maturi, MD
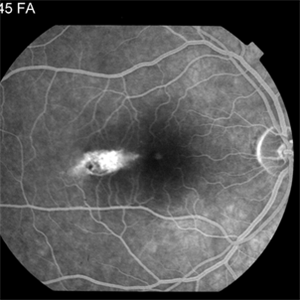
Fluorescein angiography of a 47-year-old female with torpedo maculopathy- atypical choroidal nevus.
Photographer: Charlotte Harris COA Midwest Eye Institute Indianapolis, Indiana
Imaging device: TOPCON 50EX
Condition/keywords: choroidal nevus, macula lesion, torpedo maculopathy
