-
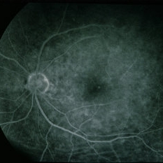
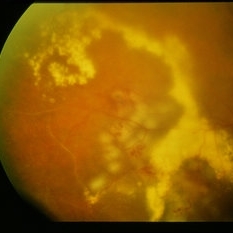
BRVO - Massive Exudate from Collaterals
Feb 24 2014 by David Callanan, MD
66-year-old female with BRVO - massive exudate from collaterals, 20/70 OD; 20/25 OS in 1985; +HTN, glaucoma; 20/200 OD 1987.
Condition/keywords: branch retinal vein occlusion (BRVO), collaterals, exudate
-
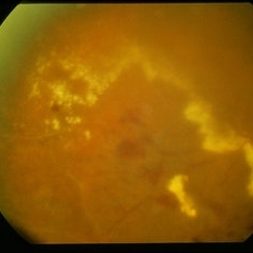
BRVO - Massive Exudate from Collaterals
Feb 24 2014 by David Callanan, MD
66-year-old female with BRVO - massive exudate from collaterals, 20/70 OD; 20/25 OS in 1985; +HTN, glaucoma; 20/200 OD 1987.
Condition/keywords: branch retinal vein occlusion (BRVO), collaterals, exudate
-
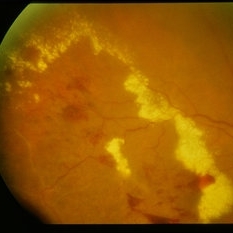
BRVO - Massive Exudate from Collaterals
Feb 24 2014 by David Callanan, MD
66-year-old female with BRVO - massive exudate from collaterals, 20/70 OD; 20/25 OS in 1985; +HTN, glaucoma; 20/200 OD 1987.
Condition/keywords: branch retinal vein occlusion (BRVO), collaterals, exudate
-
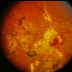
BRVO - Massive Exudate from Collaterals
Feb 24 2014 by David Callanan, MD
66-year-old female with BRVO - massive exudate from collaterals, 20/70 OD; 20/25 OS in 1985; +HTN, glaucoma; 20/200 OD 1987.
Condition/keywords: branch retinal vein occlusion (BRVO), collaterals, exudate
-
BRVO - Massive Exudate from Collaterals
Feb 24 2014 by David Callanan, MD
66-year-old female with BRVO - massive exudate from collaterals, 20/70 OD; 20/25 OS in 1985; +HTN, glaucoma; 20/200 OD 1987.
Condition/keywords: branch retinal vein occlusion (BRVO), collaterals, exudate
-
BRVO - Massive Exudate from Collaterals
Feb 24 2014 by David Callanan, MD
66-year-old female with BRVO - massive exudate from collaterals, 20/70 OD; 20/25 OS in 1985; +HTN, glaucoma; 20/200 OD 1987.
Condition/keywords: branch retinal vein occlusion (BRVO), collaterals, exudate
-
BRVO - Massive Exudate from Collaterals
Feb 24 2014 by David Callanan, MD
66-year-old female with BRVO - massive exudate from collaterals, 20/70 OD; 20/25 OS in 1985; +HTN, glaucoma; 20/200 OD 1987.
Condition/keywords: branch retinal vein occlusion (BRVO), collaterals, exudate
-
BRVO - Massive Exudate from Collaterals
Feb 24 2014 by David Callanan, MD
66-year-old female with BRVO - massive exudate from collaterals, 20/70 OD; 20/25 OS in 1985; +HTN, glaucoma; 20/200 OD 1987.
Condition/keywords: branch retinal vein occlusion (BRVO), collaterals, exudate
-
BRVO - Massive Exudate from Collaterals
Feb 24 2014 by David Callanan, MD
66-year-old female with BRVO - massive exudate from collaterals, 20/70 OD; 20/25 OS in 1985; +HTN, glaucoma; 20/200 OD 1987.
Condition/keywords: branch retinal vein occlusion (BRVO), collaterals, exudate
-
BRVO - Massive Exudate from Collaterals
Feb 24 2014 by David Callanan, MD
66-year-old female with BRVO - massive exudate from collaterals, 20/70 OD; 20/25 OS in 1985; +HTN, glaucoma; 20/200 OD 1987.
Condition/keywords: branch retinal vein occlusion (BRVO), collaterals, exudate
-
BRVO - Massive Exudate from Collaterals
Feb 24 2014 by David Callanan, MD
66-year-old female with BRVO - massive exudate from collaterals, 20/70 OD; 20/25 OS in 1985; +HTN, glaucoma; 20/200 OD 1987.
Condition/keywords: branch retinal vein occlusion (BRVO), collaterals, exudate
-
BRVO - Massive Exudate from Collaterals
Feb 24 2014 by David Callanan, MD
66-year-old female with BRVO - massive exudate from collaterals, 20/70 OD; 20/25 OS in 1985; +HTN, glaucoma; 20/200 OD 1987.
Condition/keywords: branch retinal vein occlusion (BRVO), collaterals, exudate
-
BRVO - Massive Exudate from Collaterals
Feb 24 2014 by David Callanan, MD
66-year-old female with BRVO - massive exudate from collaterals, 20/70 OD; 20/25 OS in 1985; +HTN, glaucoma; 20/200 OD 1987.
Condition/keywords: branch retinal vein occlusion (BRVO), collaterals, exudate
-
BRVO - Massive Exudate from Collaterals
Feb 24 2014 by David Callanan, MD
66-year-old female with BRVO - massive exudate from collaterals, 20/70 OD; 20/25 OS in 1985; +HTN, glaucoma; 20/200 OD 1987.
Condition/keywords: branch retinal vein occlusion (BRVO), collaterals, exudate
-
BRVO - Massive Exudate from Collaterals
Feb 24 2014 by David Callanan, MD
66-year-old female with BRVO - massive exudate from collaterals, 20/70 OD; 20/25 OS in 1985; +HTN, glaucoma; 20/200 OD 1987.
Condition/keywords: branch retinal vein occlusion (BRVO), collaterals, exudate
-
BRVO - Massive Exudate from Collaterals
Feb 24 2014 by David Callanan, MD
66-year-old female with BRVO - massive exudate from collaterals, 20/70 OD; 20/25 OS in 1985; +HTN, glaucoma; 20/200 OD 1987.
Condition/keywords: branch retinal vein occlusion (BRVO), collaterals, exudate
-
BRVO - Massive Exudate from Collaterals
Feb 24 2014 by David Callanan, MD
66-year-old female with BRVO - massive exudate from collaterals, 20/70 OD; 20/25 OS in 1985; +HTN, glaucoma; 20/200 OD 1987.
Condition/keywords: branch retinal vein occlusion (BRVO), collaterals, exudate
-
BRVO - Massive Exudate from Collaterals
Feb 24 2014 by David Callanan, MD
66-year-old female with BRVO - massive exudate from collaterals, 20/70 OD; 20/25 OS in 1985; +HTN, glaucoma; 20/200 OD 1987.
Condition/keywords: branch retinal vein occlusion (BRVO), collaterals, exudate
-
BRVO - Massive Exudate from Collaterals
Feb 24 2014 by David Callanan, MD
66-year-old female with BRVO - massive exudate from collaterals, 20/70 OD; 20/25 OS in 1985; +HTN, glaucoma; 20/200 OD 1987.
Condition/keywords: branch retinal vein occlusion (BRVO), collaterals, exudate
-
BRVO - Massive Exudate from Collaterals
Feb 24 2014 by David Callanan, MD
66-year-old female with BRVO - massive exudate from collaterals, 20/70 OD; 20/25 OS in 1985; +HTN, glaucoma; 20/200 OD 1987.
Condition/keywords: branch retinal vein occlusion (BRVO), collaterals, exudate
-
BRVO - Massive Exudate from Collaterals
Feb 24 2014 by David Callanan, MD
66-year-old female with BRVO - massive exudate from collaterals, 20/70 OD; 20/25 OS in 1985; +HTN, glaucoma; 20/200 OD 1987.
Condition/keywords: branch retinal vein occlusion (BRVO), collaterals, exudate
-
BRVO - Massive Exudate from Collaterals
Feb 24 2014 by David Callanan, MD
66-year-old female with BRVO - massive exudate from collaterals, 20/70 OD; 20/25 OS in 1985; +HTN, glaucoma; 20/200 OD 1987.
Condition/keywords: branch retinal vein occlusion (BRVO), collaterals, exudate
-
BRVO - Massive Exudate from Collaterals
Feb 24 2014 by David Callanan, MD
66-year-old female with BRVO - massive exudate from collaterals, 20/70 OD; 20/25 OS in 1985; +HTN, glaucoma; 20/200 OD 1987.
Condition/keywords: branch retinal vein occlusion (BRVO), collaterals, exudate
-
BRVO - Massive Exudate from Collaterals
Feb 24 2014 by David Callanan, MD
66-year-old female with BRVO - massive exudate from collaterals, 20/70 OD; 20/25 OS in 1985; +HTN, glaucoma; 20/200 OD 1987.
Condition/keywords: branch retinal vein occlusion (BRVO), collaterals, exudate
-
BRVO - Massive Exudate from Collaterals
Feb 24 2014 by David Callanan, MD
66-year-old female with BRVO - massive exudate from collaterals, 20/70 OD; 20/25 OS in 1985; +HTN, glaucoma; 20/200 OD 1987.
Condition/keywords: branch retinal vein occlusion (BRVO), collaterals, exudate
-
BRVO - Massive Exudate from Collaterals
Feb 24 2014 by David Callanan, MD
66-year-old female with BRVO - massive exudate from collaterals, 20/70 OD; 20/25 OS in 1985; +HTN, glaucoma; 20/200 OD 1987.
Condition/keywords: branch retinal vein occlusion (BRVO), collaterals, exudate
-
BRVO - Massive Exudate from Collaterals
Feb 24 2014 by David Callanan, MD
66-year-old female with BRVO - massive exudate from collaterals, 20/70 OD; 20/25 OS in 1985; +HTN, glaucoma; 20/200 OD 1987.
Condition/keywords: branch retinal vein occlusion (BRVO), collaterals, exudate
-
BRVO - Massive Exudate from Collaterals
Feb 24 2014 by David Callanan, MD
66-year-old female with BRVO - massive exudate from collaterals, 20/70 OD; 20/25 OS in 1985; +HTN, glaucoma; 20/200 OD 1987.
Condition/keywords: branch retinal vein occlusion (BRVO), collaterals, exudate
-
BRVO - Massive Exudate from Collaterals
Feb 24 2014 by David Callanan, MD
66-year-old female with BRVO - massive exudate from collaterals, 20/70 OD; 20/25 OS in 1985; +HTN, glaucoma; 20/200 OD 1987.
Condition/keywords: branch retinal vein occlusion (BRVO), collaterals, exudate
-
BRVO - Massive Exudate from Collaterals
Feb 24 2014 by David Callanan, MD
66-year-old female with BRVO - massive exudate from collaterals, 20/70 OD; 20/25 OS in 1985; +HTN, glaucoma; 20/200 OD 1987.
Condition/keywords: branch retinal vein occlusion (BRVO), collaterals, exudate
-
BRVO - Massive Exudate from Collaterals
Feb 24 2014 by David Callanan, MD
66-year-old female with BRVO - massive exudate from collaterals, 20/70 OD; 20/25 OS in 1985; +HTN, glaucoma; 20/200 OD 1987.
Condition/keywords: branch retinal vein occlusion (BRVO), collaterals, exudate
-
BRVO - Massive Exudate from Collaterals
Feb 24 2014 by David Callanan, MD
66-year-old female with BRVO - massive exudate from collaterals, 20/70 OD; 20/25 OS in 1985; +HTN, glaucoma; 20/200 OD 1987.
Condition/keywords: branch retinal vein occlusion (BRVO), collaterals, exudate
-
BRVO - Massive Exudate from Collaterals
Feb 24 2014 by David Callanan, MD
66-year-old female with BRVO - massive exudate from collaterals, 20/70 OD; 20/25 OS in 1985; +HTN, glaucoma; 20/200 OD 1987.
Condition/keywords: branch retinal vein occlusion (BRVO), collaterals, exudate
-
BRVO - Massive Exudate from Collaterals
Feb 24 2014 by David Callanan, MD
66-year-old female with BRVO - massive exudate from collaterals, 20/70 OD; 20/25 OS in 1985; +HTN, glaucoma; 20/200 OD 1987.
Condition/keywords: branch retinal vein occlusion (BRVO), collaterals, exudate
-
BRVO - Massive Exudate from Collaterals
Feb 24 2014 by David Callanan, MD
66-year-old female with BRVO - massive exudate from collaterals, 20/70 OD; 20/25 OS in 1985; +HTN, glaucoma; 20/200 OD 1987.
Condition/keywords: branch retinal vein occlusion (BRVO), collaterals, exudate
-
BRVO - Massive Exudate from Collaterals
Feb 24 2014 by David Callanan, MD
66-year-old female with BRVO - massive exudate from collaterals, 20/70 OD; 20/25 OS in 1985; +HTN, glaucoma; 20/200 OD 1987.
Condition/keywords: branch retinal vein occlusion (BRVO), collaterals, exudate
-
BRVO - Massive Exudate from Collaterals
Feb 24 2014 by David Callanan, MD
66-year-old female with BRVO - massive exudate from collaterals, 20/70 OD; 20/25 OS in 1985; +HTN, glaucoma; 20/200 OD 1987.
Condition/keywords: branch retinal vein occlusion (BRVO), collaterals, exudate
-
BRVO - Massive Exudate from Collaterals
Feb 24 2014 by David Callanan, MD
66-year-old female with BRVO - massive exudate from collaterals, 20/70 OD; 20/25 OS in 1985; +HTN, glaucoma; 20/200 OD 1987.
Condition/keywords: branch retinal vein occlusion (BRVO), collaterals, exudate
-
BRVO - Massive Exudate from Collaterals
Feb 24 2014 by David Callanan, MD
66-year-old female with BRVO - massive exudate from collaterals, 20/70 OD; 20/25 OS in 1985; +HTN, glaucoma; 20/200 OD 1987.
Condition/keywords: branch retinal vein occlusion (BRVO), collaterals, exudate
-
BRVO - Massive Exudate from Collaterals
Feb 24 2014 by David Callanan, MD
66-year-old female with BRVO - massive exudate from collaterals, 20/70 OD; 20/25 OS in 1985; +HTN, glaucoma; 20/200 OD 1987.
Condition/keywords: branch retinal vein occlusion (BRVO), collaterals, exudate
