-
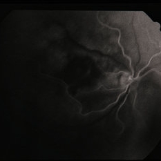
Systemic Lupus Erythematosys with Retinal Detachment
Feb 20 2014 by David Callanan, MD
34-year-old female with systemic lupus erythematosys with retinal detachment.
Condition/keywords: systemic lupus erythematosus (SLE) retinopathy
-
Systemic Lupus Erythematosys with Retinal Detachment
Feb 20 2014 by David Callanan, MD
34-year-old female with systemic lupus erythematosys with retinal detachment.
Condition/keywords: systemic lupus erythematosus (SLE) retinopathy
-
Systemic Lupus Erythematosys with Retinal Detachment
Feb 20 2014 by David Callanan, MD
34-year-old female with systemic lupus erythematosys with retinal detachment.
Condition/keywords: systemic lupus erythematosus (SLE) retinopathy
-
Systemic Lupus Erythematosys with Retinal Detachment
Feb 20 2014 by David Callanan, MD
34-year-old female with systemic lupus erythematosys with retinal detachment.
Condition/keywords: systemic lupus erythematosus (SLE) retinopathy
-
Systemic Lupus Erythematosys with Retinal Detachment
Feb 20 2014 by David Callanan, MD
34-year-old female with systemic lupus erythematosys with retinal detachment.
Condition/keywords: systemic lupus erythematosus (SLE) retinopathy
-
Systemic Lupus Erythematosys with Retinal Detachment
Feb 20 2014 by David Callanan, MD
34-year-old female with systemic lupus erythematosys with retinal detachment.
Condition/keywords: systemic lupus erythematosus (SLE) retinopathy
-
Systemic Lupus Erythematosys with Retinal Detachment
Feb 20 2014 by David Callanan, MD
34-year-old female with systemic lupus erythematosys with retinal detachment.
Condition/keywords: systemic lupus erythematosus (SLE) retinopathy
-
Systemic Lupus Erythematosys with Retinal Detachment
Feb 20 2014 by David Callanan, MD
34-year-old female with systemic lupus erythematosys with retinal detachment.
Condition/keywords: systemic lupus erythematosus (SLE) retinopathy
-
Systemic Lupus Erythematosys with Retinal Detachment
Feb 20 2014 by David Callanan, MD
34-year-old female with systemic lupus erythematosys with retinal detachment.
Condition/keywords: systemic lupus erythematosus (SLE) retinopathy
-
Systemic Lupus Erythematosys with Retinal Detachment
Feb 20 2014 by David Callanan, MD
34-year-old female with systemic lupus erythematosys with retinal detachment.
Condition/keywords: systemic lupus erythematosus (SLE) retinopathy
-
Systemic Lupus Erythematosys with Retinal Detachment
Feb 20 2014 by David Callanan, MD
34-year-old female with systemic lupus erythematosys with retinal detachment.
Condition/keywords: systemic lupus erythematosus (SLE) retinopathy
-
Systemic Lupus Erythematosys with Retinal Detachment
Feb 20 2014 by David Callanan, MD
34-year-old female with systemic lupus erythematosys with retinal detachment.
Condition/keywords: systemic lupus erythematosus (SLE) retinopathy
-
Systemic Lupus Erythematosys with Retinal Detachment
Feb 20 2014 by David Callanan, MD
34-year-old female with systemic lupus erythematosys with retinal detachment.
Condition/keywords: systemic lupus erythematosus (SLE) retinopathy
-
Systemic Lupus Erythematosys with Retinal Detachment
Feb 20 2014 by David Callanan, MD
34-year-old female with systemic lupus erythematosys with retinal detachment.
Condition/keywords: systemic lupus erythematosus (SLE) retinopathy
-
Systemic Lupus Erythematosys with Retinal Detachment
Feb 20 2014 by David Callanan, MD
34-year-old female with systemic lupus erythematosys with retinal detachment.
Condition/keywords: systemic lupus erythematosus (SLE) retinopathy
-
Systemic Lupus Erythematosys with Retinal Detachment
Feb 20 2014 by David Callanan, MD
34-year-old female with systemic lupus erythematosys with retinal detachment.
Condition/keywords: systemic lupus erythematosus (SLE) retinopathy
-
Systemic Lupus Erythematosys with Retinal Detachment
Feb 20 2014 by David Callanan, MD
34-year-old female with systemic lupus erythematosys with retinal detachment.
Condition/keywords: systemic lupus erythematosus (SLE) retinopathy
-
Systemic Lupus Erythematosys with Retinal Detachment
Feb 20 2014 by David Callanan, MD
34-year-old female with systemic lupus erythematosys with retinal detachment.
Condition/keywords: systemic lupus erythematosus (SLE) retinopathy
-
Systemic Lupus Erythematosys with Retinal Detachment
Feb 20 2014 by David Callanan, MD
34-year-old female with systemic lupus erythematosys with retinal detachment.
Condition/keywords: systemic lupus erythematosus (SLE) retinopathy
-
Systemic Lupus Erythematosys with Retinal Detachment
Feb 20 2014 by David Callanan, MD
34-year-old female with systemic lupus erythematosys with retinal detachment.
Condition/keywords: systemic lupus erythematosus (SLE) retinopathy
-
Systemic Lupus Erythematosys with Retinal Detachment
Feb 20 2014 by David Callanan, MD
34-year-old female with systemic lupus erythematosys with retinal detachment.
Condition/keywords: systemic lupus erythematosus (SLE) retinopathy
-
Systemic Lupus Erythematosys with Retinal Detachment
Feb 20 2014 by David Callanan, MD
34-year-old female with systemic lupus erythematosys with retinal detachment.
Condition/keywords: systemic lupus erythematosus (SLE) retinopathy
-
Systemic Lupus Erythematosys with Retinal Detachment
Feb 20 2014 by David Callanan, MD
34-year-old female with systemic lupus erythematosys with retinal detachment.
Condition/keywords: systemic lupus erythematosus (SLE) retinopathy
-
Systemic Lupus Erythematosys with Retinal Detachment
Feb 20 2014 by David Callanan, MD
34-year-old female with systemic lupus erythematosys with retinal detachment.
Condition/keywords: systemic lupus erythematosus (SLE) retinopathy
-
Systemic Lupus Erythematosys with Retinal Detachment
Feb 20 2014 by David Callanan, MD
34-year-old female with systemic lupus erythematosys with retinal detachment.
Condition/keywords: systemic lupus erythematosus (SLE) retinopathy
-
Systemic Lupus Erythematosys with Retinal Detachment
Feb 20 2014 by David Callanan, MD
34-year-old female with systemic lupus erythematosys with retinal detachment.
Condition/keywords: systemic lupus erythematosus (SLE) retinopathy
-
Systemic Lupus Erythematosys with Retinal Detachment
Feb 20 2014 by David Callanan, MD
34-year-old female with systemic lupus erythematosys with retinal detachment.
Condition/keywords: systemic lupus erythematosus (SLE) retinopathy
-
Systemic Lupus Erythematosys with Retinal Detachment
Feb 20 2014 by David Callanan, MD
34-year-old female with systemic lupus erythematosys with retinal detachment.
Condition/keywords: systemic lupus erythematosus (SLE) retinopathy
-
Systemic Lupus Erythematosys with Retinal Detachment
Feb 20 2014 by David Callanan, MD
34-year-old female with systemic lupus erythematosys with retinal detachment.
Condition/keywords: systemic lupus erythematosus (SLE) retinopathy
-
Systemic Lupus Erythematosys with Retinal Detachment
Feb 20 2014 by David Callanan, MD
34-year-old female with systemic lupus erythematosys with retinal detachment.
Condition/keywords: systemic lupus erythematosus (SLE) retinopathy
-
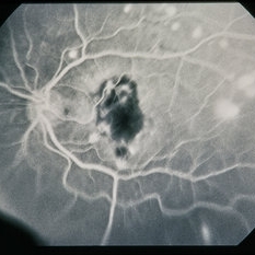
Systemic Lupus Erythematosys with Retinal Detachment
Feb 20 2014 by David Callanan, MD
36-year-old female with systemic lupus erythematosys with retinal detachment.
Condition/keywords: systemic lupus erythematosus (SLE) retinopathy
-
Systemic Lupus Erythematosys with Retinal Detachment
Feb 20 2014 by David Callanan, MD
36-year-old female with systemic lupus erythematosys with retinal detachment.
Condition/keywords: systemic lupus erythematosus (SLE) retinopathy
-
Systemic Lupus Erythematosys with Retinal Detachment
Feb 20 2014 by David Callanan, MD
36-year-old female with systemic lupus erythematosys with retinal detachment.
Condition/keywords: systemic lupus erythematosus (SLE) retinopathy
-
Systemic Lupus Erythematosys with Retinal Detachment
Feb 20 2014 by David Callanan, MD
36-year-old female with systemic lupus erythematosys with retinal detachment.
Condition/keywords: systemic lupus erythematosus (SLE) retinopathy
-
Systemic Lupus Erythematosys with Retinal Detachment
Feb 20 2014 by David Callanan, MD
36-year-old female with systemic lupus erythematosys with retinal detachment.
Condition/keywords: systemic lupus erythematosus (SLE) retinopathy
-
Systemic Lupus Erythematosys with Retinal Detachment
Feb 20 2014 by David Callanan, MD
36-year-old female with systemic lupus erythematosys with retinal detachment.
Condition/keywords: systemic lupus erythematosus (SLE) retinopathy
-
Systemic Lupus Erythematosys with Retinal Detachment
Feb 20 2014 by David Callanan, MD
36-year-old female with systemic lupus erythematosys with retinal detachment.
Condition/keywords: systemic lupus erythematosus (SLE) retinopathy
-
Systemic Lupus Erythematosys with Retinal Detachment
Feb 20 2014 by David Callanan, MD
36-year-old female with systemic lupus erythematosys with retinal detachment.
Condition/keywords: systemic lupus erythematosus (SLE) retinopathy
-
Systemic Lupus Erythematosys with Retinal Detachment
Feb 20 2014 by David Callanan, MD
36-year-old female with systemic lupus erythematosys with retinal detachment.
Condition/keywords: systemic lupus erythematosus (SLE) retinopathy
-
Systemic Lupus Erythematosys with Retinal Detachment
Feb 20 2014 by David Callanan, MD
36-year-old female with systemic lupus erythematosys with retinal detachment.
Condition/keywords: systemic lupus erythematosus (SLE) retinopathy
-
Systemic Lupus Erythematosys with Retinal Detachment
Feb 20 2014 by David Callanan, MD
36-year-old female with systemic lupus erythematosys with retinal detachment.
Condition/keywords: systemic lupus erythematosus (SLE) retinopathy
-
Systemic Lupus Erythematosys with Retinal Detachment
Feb 20 2014 by David Callanan, MD
36-year-old female with systemic lupus erythematosys with retinal detachment.
Condition/keywords: systemic lupus erythematosus (SLE) retinopathy
-
Systemic Lupus Erythematosys with Retinal Detachment
Feb 20 2014 by David Callanan, MD
36-year-old female with systemic lupus erythematosys with retinal detachment.
Condition/keywords: systemic lupus erythematosus (SLE) retinopathy
-
Systemic Lupus Erythematosys with Retinal Detachment
Feb 20 2014 by David Callanan, MD
36-year-old female with systemic lupus erythematosys with retinal detachment.
Condition/keywords: systemic lupus erythematosus (SLE) retinopathy
-
Systemic Lupus Erythematosys with Retinal Detachment
Feb 20 2014 by David Callanan, MD
36-year-old female with systemic lupus erythematosys with retinal detachment.
Condition/keywords: systemic lupus erythematosus (SLE) retinopathy
-
Systemic Lupus Erythematosys with Retinal Detachment
Feb 20 2014 by David Callanan, MD
36-year-old female with systemic lupus erythematosys with retinal detachment.
Condition/keywords: systemic lupus erythematosus (SLE) retinopathy
-
Systemic Lupus Erythematosys with Retinal Detachment
Feb 20 2014 by David Callanan, MD
36-year-old female with systemic lupus erythematosys with retinal detachment.
Condition/keywords: systemic lupus erythematosus (SLE) retinopathy
-
Systemic Lupus Erythematosys with Retinal Detachment
Feb 20 2014 by David Callanan, MD
36-year-old female with systemic lupus erythematosys with retinal detachment.
Condition/keywords: systemic lupus erythematosus (SLE) retinopathy
-
Systemic Lupus Erythematosys with Retinal Detachment
Feb 20 2014 by David Callanan, MD
36-year-old female with systemic lupus erythematosys with retinal detachment.
Condition/keywords: systemic lupus erythematosus (SLE) retinopathy
-
Systemic Lupus Erythematosys with Retinal Detachment
Feb 20 2014 by David Callanan, MD
36-year-old female with systemic lupus erythematosys with retinal detachment.
Condition/keywords: systemic lupus erythematosus (SLE) retinopathy
-
Systemic Lupus Erythematosys with Retinal Detachment
Feb 20 2014 by David Callanan, MD
36-year-old female with systemic lupus erythematosys with retinal detachment.
Condition/keywords: systemic lupus erythematosus (SLE) retinopathy
-
Systemic Lupus Erythematosys with Retinal Detachment
Feb 20 2014 by David Callanan, MD
36-year-old female with systemic lupus erythematosys with retinal detachment.
Condition/keywords: systemic lupus erythematosus (SLE) retinopathy
-
Systemic Lupus Erythematosys with Retinal Detachment
Feb 20 2014 by David Callanan, MD
36-year-old female with systemic lupus erythematosys with retinal detachment.
Condition/keywords: systemic lupus erythematosus (SLE) retinopathy
-
Systemic Lupus Erythematosys with Retinal Detachment
Feb 20 2014 by David Callanan, MD
36-year-old female with systemic lupus erythematosys with retinal detachment.
Condition/keywords: systemic lupus erythematosus (SLE) retinopathy
-
Systemic Lupus Erythematosys with Retinal Detachment
Feb 20 2014 by David Callanan, MD
36-year-old female with systemic lupus erythematosys with retinal detachment.
Condition/keywords: systemic lupus erythematosus (SLE) retinopathy
-
Systemic Lupus Erythematosys with Retinal Detachment
Feb 20 2014 by David Callanan, MD
36-year-old female with systemic lupus erythematosys with retinal detachment.
Condition/keywords: systemic lupus erythematosus (SLE) retinopathy
-
Systemic Lupus Erythematosys with Retinal Detachment
Feb 20 2014 by David Callanan, MD
36-year-old female with systemic lupus erythematosys with retinal detachment.
Condition/keywords: systemic lupus erythematosus (SLE) retinopathy
-
Systemic Lupus Erythematosys with Retinal Detachment
Feb 20 2014 by David Callanan, MD
36-year-old female with systemic lupus erythematosys with retinal detachment.
Condition/keywords: systemic lupus erythematosus (SLE) retinopathy
-
Systemic Lupus Erythematosys with Retinal Detachment
Feb 20 2014 by David Callanan, MD
36-year-old female with systemic lupus erythematosys with retinal detachment.
Condition/keywords: systemic lupus erythematosus (SLE) retinopathy
-
Systemic Lupus Erythematosys with Retinal Detachment
Feb 20 2014 by David Callanan, MD
36-year-old female with systemic lupus erythematosys with retinal detachment.
Condition/keywords: systemic lupus erythematosus (SLE) retinopathy
-
Systemic Lupus Erythematosys with Retinal Detachment
Feb 20 2014 by David Callanan, MD
36-year-old female with systemic lupus erythematosys with retinal detachment.
Condition/keywords: systemic lupus erythematosus (SLE) retinopathy
-
Systemic Lupus Erythematosys with Retinal Detachment
Feb 20 2014 by David Callanan, MD
36-year-old female with systemic lupus erythematosys with retinal detachment.
Condition/keywords: systemic lupus erythematosus (SLE) retinopathy
