-
Dislocated IOL
Jan 13 2014 by David Callanan, MD
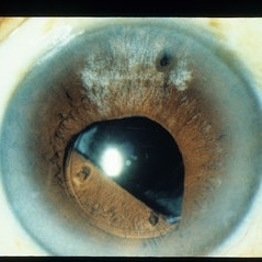
Dislocated IOL, 63-year-old female.
Condition/keywords: dislocated intraocular lens (IOL)
Jan 13 2014 by David Callanan, MD
Dislocated IOL, 63-year-old female.
Condition/keywords: dislocated intraocular lens (IOL)