• Lacquer Cracks

    4 ratings

    Oct 13 2012 by Geoffrey G. Emerson, MD, PhD, FASRS

    Lacquer cracks

    Condition/keywords: lacquer cracks, myopic macular degeneration

  • Kaposi's Sarcoma

    3 ratings

    Dec 27 2013 by David Callanan, MD

    31-year-old male.

    Condition/keywords: AIDS, Kaposi's sarcoma

  • Weiss Ring (Floater)

    0 ratings

    Jul 10 2013 by Jason S. Calhoun

    Patient comes in complaining of a floater towards the nasal aspect of her vision. Fundus photograph with anterior shot, shows a weiss ring pulled off from the optic nerve.

    Photographer: Jason S. Calhoun, Department of Ophthalmology, Mayo Clinic Jacksonville, Florida

    Condition/keywords: floaters, Weiss ring

  • Cystic Retinal Tuft

    4 ratings

    Nov 9 2012 by Norman Byer

    This is the same lesion as in the previous slide pair but the photograph was taken nine years later when the patient was 58-years-old soon after an acute posterior vitreous detachment. This demonstrates that posterior vitreous detachment can produce large retinal tears at these sites. However, it is important to emphasize that prophylactic treatment of cystic retinal tufts in the absence of a retinal tear would be very ill-advised because several hundred innocence and harmless lesions would have to be treated in order to prevent one tear of the retina.

    Condition/keywords: cystic retinal tuft, posterior vitreous detachment, retinal tear

  • Giant Papillary Conjunctivitis, Left Upper Eyelid

    2 ratings

    Jul 22 2013 by Jason S. Calhoun

    Contact lens wearer in for exam. Has rough feeling underneath both eyelids. Patient thought it was through SCL wear. Patient VA was 20/20. right eye, 20/30, left eye. Underneath the left upper eyelid, you can see papillary inflammation and redness.

    Photographer: Jason S. Calhoun, Department of Ophthalmology, Mayo Clinic Jacksonville, Florida

    Imaging device: TOPCON D-90 SL NIKON CAMERA

    Condition/keywords: giant papillary conjunctivitis

  • CMV Retinitis in a Patient with the Diagnosis of AIDS

    0 ratings

    Feb 27 2013 by Henry J. Kaplan, MD

    CMV retinitis, left eye: classic form in AIDS patient. Hemorrhagic retinitis mainly in the superior arcade.

    Condition/keywords: AIDS

  • Subhyaloid Hemorrhage

    4 ratings

    Oct 8 2012 by Jeffrey G. Gross, MD, FASRS

    Subhyaloid hemorrhage, layered, with surrounding subretinal hemorrhage.

    Condition/keywords: subhyaloid hemorrhage, subretinal hemorrhage

  • Severe NPDR

    1 rating

    Mar 29 2013 by Henry J. Kaplan, MD

    Severe NPDR , IRMA visible inferonasally.

    Condition/keywords: nonproliferative diabetic retinopathy

  • Busacca nodules

    4 ratings

    May 2 2013 by Henry J. Kaplan, MD

    Typical Busacca iris stromal nodules in sarcoid uveitis; notice the ps formation.

    Condition/keywords: busacca nodulaes, granulomatous uveitis, iris nodules, sarcoid bussaca iris nodules

  • White Without Pressure

    1 rating

    Aug 23 2012 by Gerardo Garcia-Aguirre, MD

    Photograph of the temporal peripheral retina showing an area of pale retina (white without pressure).

    Photographer: Noemí Hernández, Asociación para Evitar la Ceguera en México

    Imaging device: Zeiss FF4

    Condition/keywords: pale retina, white without pressure

  • Siegrist Streaks

    3 ratings

    Mar 29 2013 by Henry J. Kaplan, MD

    Typical Siegrist streaks in hypertensive choridopathy; hyperpigmentations in a linear fashion along choroidal vessels , a rare finding.

    Condition/keywords: hypertensive choroidopathy, Siegrist Streaks

  • Normal Temporal Ora Serrata

    2 ratings

    Nov 9 2012 by Norman Byer

    This is the normal temporal ora serrata in a 26-year-old man. Note the typical ragged moth-eaten appearance caused by peripheral cystoid degeneration. This appearance may be present in infants but is always present beyond the age of eight years.

    Condition/keywords: ora serrata, peripheral cystoid degeneration

  • Bilateral Retinoschisis Retinal Detachment

    2 ratings

    Sep 15 2012 by Barbara Parolini, MD

    Fundus photograph of a case of bilateral retinoschisis and retinal detachment. The border of the external layer breaks and the border of the schisis have been treated with argon laser. An epiretinal membrane formed after the formation of retinal detachment.

    Photographer: Dr Rino Frisina, Istituto Clinico S.Anna, Brescia, Italy

    Imaging device: optos

    Condition/keywords: epiretinal membrane formation, retinoschisis

  • Normal Nasal Ora Serrata

    2 ratings

    Nov 9 2012 by Norman Byer

    This shows the normal nasal ora serrata. Note the dentate processes which divide the nasal ora into prominent bays and teeth

    Condition/keywords: dentate processes, normal nasal ora serrata, ora bay, ora teeth

  • Bergmeister's Papillae

    0 ratings

    Mar 29 2013 by Henry J. Kaplan, MD

    Remnants of fetal hyaloid artery as fibrous tuft called Bergmeister`s papillae on the optic disc.

    Condition/keywords: Bergmeister's Papillae, hyaloid artery

  • Sub-ILM Hemorrhage with Neovessels

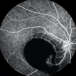
    13 ratings

    Apr 30 2020 by Saurabh Deshmukh, MBBS, DNB, FVRS, MNAMS

    Late arteriovenous phase FA showing a large sub-internal limiting membrane hemorrhage with overlying neovessels. This hypertensive patient presented with a visual acuity of counting fingers at 2 meters. The patient was advised intravitreal anti-VEGF injection, Nd: YAG Membranotomy, and systemic control of hypertension.

    Photographer: Saurabh Deshmukh, Sri Sankaradeva Nethralaya, Guwahati, India

    Imaging device: Topcon TRC-50 DX

    Condition/keywords: hypertensive retinopathy, neovascularization elsewhere (NVE), subILM hemorrhage

  • Roth Spot

    0 ratings

    Feb 27 2013 by Henry J. Kaplan, MD

    Roth spots due to subacute bacterial endocardiris in a patient with the diagnosis of AIDS .

    Condition/keywords: AIDS, subacute bacterial endocardiris, white centered retinal hemorrhage (Roth Spot)

  • Proliferative Diabetic Retinopathy (PDR) & Traction Retinal Detachment

    1 rating

    Feb 13 2013 by From the Collections of Thomas M. Aaberg, MD and Thomas M. Aaberg Jr., MD

    Florid NV with early macular TRD.

    Condition/keywords: neovascularization (NV), tractional retinal detachment

  • Open Funnel Retinal Detachment

    1 rating

    Oct 13 2012 by Geoffrey G. Emerson, MD, PhD, FASRS

    Open funnel retinal detachment

    Condition/keywords: B scan ultrasound, open funnel RD

  • Plaquenil Toxicity

    3 ratings

    Apr 30 2013 by Theodore Leng, MD, MS, FASRS

    SD-OCT scan from a 44-year-old woman with bilateral plaquenil toxicity. There is damage visible in the outer retina in a perifoveal distribution.

    Condition/keywords: hydroxychloroquine toxicity, plaquenil toxicity