-
Proliferative Diabetic Retinopathy - Neovascularization Elsewhere
Nov 11 2013 by Gerardo Garcia-Aguirre, MD
Fundus photograph showing neovascularization in the inferotemporal arcade.
Condition/keywords: fundus photograph, neovascularization (NV)
-
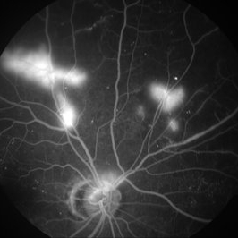
Proliferative Diabetic Retinopathy - Neovascularization Elsewhere
Nov 11 2013 by Gerardo Garcia-Aguirre, MD
Fluorescein angiogram showing leakage secondary to neovascularization in the superior and inferior arcades.
Condition/keywords: neovascularization (NV)
-
Proliferative Diabetic Retinopathy - Neovascularization Elsewhere
Nov 11 2013 by Gerardo Garcia-Aguirre, MD
Fluorescein angiogram showing leakage secondary to neovascularization in the superior arcades.
Condition/keywords: neovascularization (NV)
-
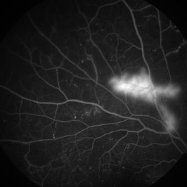
Proliferative Diabetic Retinopathy - Neovascularization Elsewhere
Nov 11 2013 by Gerardo Garcia-Aguirre, MD
Fluorescein angiogram showing leakage secondary to neovascularization in the superior arcades.
Condition/keywords: neovascularization (NV)
-
Proliferative Diabetic Retinopathy - Neovascularization Elsewhere
Nov 11 2013 by Gerardo Garcia-Aguirre, MD
Fluorescein angiogram showing leakage secondary to neovascularization in the superior arcades.
Condition/keywords: neovascularization (NV)
